- All publications
- MELBA–BVM 2025 Special Issue
- Special Issue on MICCAI Open Data 2024-2025
- Special issue on FAIMI
- UNSURE2023
- iMIMIC 2023
- MICCAI 2023 LNQ challenge
- Special Issue on Image Registration
- Special Issue for Generative Models
- PIPPI 2022
- MLCN 2022
- UNSURE2022
- PIPPI 2021
- IPMI 2021
- MICCAI 2021 workshop omnibus
- UNSURE2020
- MIDL 2020
- May 2026 issue
- April 2026 issue
- March 2026 issue
- February 2026 issue
- December 2025 issue
- November 2025 issue
- October 2025 issue
- September 2025 issue
- August 2025 issue
- June 2025 issue
- May 2025 issue
- April 2025 issue
- March 2025 issue
- February 2025 issue
- November 2024 issue
- October 2024 issue
- August 2024 issue
- July 2024 issue
- June 2024 issue
- May 2024 issue
- April 2024 issue
- January 2024 issue
- October 2023 issue
- June 2023 issue
- May 2023 issue
- April 2023 issue
- March 2023 issue
- February 2023 issue
- January 2023 issue
- December 2022 issue
- November 2022 issue
- September 2022 issue
- August 2022 issue
- June 2022 issue
- April 2022 issue
- March 2022 issue
- February 2022 issue
- December 2021 issue
- October 2021 issue
- September 2021 issue
- April 2021 issue
- December 2020 issue
Volume 3
https://doi.org/10.59275/j.melba.3-af1f
49 papers

Benchmarking Foundation Models for Mitotic Figure Classification
2026/01/30MELBA–BVM 2025 Special Issue
Jonas AmmelingTechnische Hochschule Ingolstadt, AImotion, Ingolstadt, DE, Jonathan GanzMIRA vision Microscopy GmbH, Göppingen, DE
Technische Hochschule Ingolstadt, AImotion, Ingolstadt, DE, Emely RosbachTechnische Hochschule Ingolstadt, AImotion, Ingolstadt, DE, Ludwig LausserTechnische Hochschule Ingolstadt, AImotion, Ingolstadt, DE, Christof A. BertramUniversity of Veterinary Medicine, Institute of Pathology, Vienna, AU, Katharina BreiningerCenter for AI and Data Science, Julius-Maximilians-Universität Würzburg, Würzburg, DE
Department Artificial Intelligence in Biomedical Engineering, Friedrich-Alexander-Universität Erlangen-Nürnberg, Erlangen, DE, Marc AubrevilleFlensburg University of Applied Sciences, Flensburg, DE

A schistosomiasis dataset with bright- and darkfield images
2025/12/31Special Issue on MICCAI Open Data 2024-2025
Dieudonné K. SiluéUFR Biosciences, Université Félix Houphouët-Boigny, Abidjan, Côte d’Ivoire.Dieudonné K. SiluéUFR Biosciences, Université Félix Houphouët-Boigny, Abidjan, Côte d’Ivoire.
Centre Suisse de Recherches Scientifiques en Côte d’Ivoire, Abidjan Côte d’Ivoire. et al.
Centre Suisse de Recherches Scientifiques en Côte d’Ivoire, Abidjan Côte d’Ivoire., María Díaz de León DerbyDepartment of Bioengineering, University of California, Berkeley, Berkeley, California., Charles B. DelahuntGlobal Health Labs, Inc, Bellevue, Washington., Anne-Laure Le NyGlobal Health Labs, Inc, Bellevue, Washington., Ethan SpencerGlobal Health Labs, Inc, Bellevue, Washington., Maxim ArmstrongDepartment of Bioengineering, University of California, Berkeley, Berkeley, California., Karla N. FisherDivision of General Internal Medicine, Toronto General Hospital, University Health Network, Toronto, Canada.
Division of Infectious Diseases, Toronto General Hospital, University Health Network, Toronto, Canada., Daniel A. FletcherDepartment of Bioengineering, University of California, Berkeley, Berkeley, California.
Biological Systems and Engineering Division, Lawrence Berkeley National Laboratory, University of California, Berkeley, Berkeley, California.
Chan Zuckerberg Biohub, San Francisco, California., Isaac I. BogochDivision of General Internal Medicine, Toronto General Hospital, University Health Network, Toronto, Canada.
Division of Infectious Diseases, Toronto General Hospital, University Health Network, Toronto, Canada.
Department of Medicine, University of Toronto, Toronto, Canada., Jean T. CoulibalyUFR Biosciences, Université Félix Houphouët-Boigny, Abidjan, Côte d’Ivoire.
Centre Suisse de Recherches Scientifiques en Côte d’Ivoire, Abidjan Côte d’Ivoire.

The Trauma THOMPSON Dataset for Real-World Emergency AI
2025/12/31Special Issue on MICCAI Open Data 2024-2025
Yupeng ZhuoPurdue University, West Lafayette, IN, USA, Eddie ZhangPurdue University, West Lafayette, IN, USA, Xiangchen YuPurdue University, West Lafayette, IN, USA, Aditya PachpandePurdue University, West Lafayette, IN, USA, Andrew W. KirkpatrickUniversity of Calgary, Calgary, Alberta, Canada, Kyle CouperusThe Geneva Foundation, Tacoma, WA, USA, Jessica MckeeUniversity of Calgary, Calgary, Alberta, Canada, Juan WachsPurdue University, West Lafayette, IN, USA

Special Issue on MICCAI Open Data 2024-2025
Nikita BediDivision of Head & Neck Surgery, Department of Otolaryngology, Stanford University, Anita RauDepartment of Biomedical Data Science, Stanford University, Alberto PadernoDepartment of Otolaryngology–Head and Neck Surgery, Humanitas Research Hospital, Hlu VangDivision of Head & Neck Surgery, Department of Otolaryngology, Stanford University, Yoon Kyoung SoDivision of Head & Neck Surgery, Department of Otolaryngology, Stanford University, F. Christopher HolsingerDivision of Head & Neck Surgery, Department of Otolaryngology, Stanford University

Special Issue on MICCAI Open Data 2024-2025
Bair N. TuchinovInstitute International Tomography Center of the Russian Academy of Sciences, Novosibirsk, Russia, Anna I. ProkaevaInstitute International Tomography Center of the Russian Academy of Sciences, Novosibirsk, Russia, Lyubov M VasilkivInstitute International Tomography Center of the Russian Academy of Sciences, Novosibirsk, Russia, Yuliya A. StankevichInstitute International Tomography Center of the Russian Academy of Sciences, Novosibirsk, Russia, Denis S. KorobkoInstitute International Tomography Center of the Russian Academy of Sciences, Novosibirsk, Russia, Nadezhda A. MalkovaInstitute International Tomography Center of the Russian Academy of Sciences, Novosibirsk, Russia, Andrey A. TulupovInstitute International Tomography Center of the Russian Academy of Sciences, Novosibirsk, Russia

Special Issue on MICCAI Open Data 2024-2025
Hyam Omar AliFaculty of Mathematical Sciences, University of Khartoum, 11111, Khartoum, Sudan
The Mycetoma Research Centre, University of Khartoum, 11111, Khartoum, Sudan
U1253 iBrain, University of Tours, Inserm, 37032, Tours, France
CNRS U7013 Institute Denis Poisson, University of Orleans, 45067, Orleans, France, Romain AbrahamCNRS U7013 Institute Denis Poisson, University of Orleans, 45067, Orleans, France, Guillaume DesoubeauxParasitology and Mycology Department, Bretonneau Hospital, 37032, Tours, France
INSERM U1100, University of Tours, 37032, Tours, France, Ahmed FahalThe Mycetoma Research Centre, University of Khartoum, 11111, Khartoum, Sudan, Clovis TauberU1253 iBrain, University of Tours, Inserm, 37032, Tours, France

Special Issue on MICCAI Open Data 2024-2025
Yunzhi XuCollege of Biomedical Engineering and Instrument Science, Zhejiang University, Hangzhou, China, Yushuang DingDepartment of Radiology, Children's Hospital, Zhejiang University School of Medicine, National Clinical Research Center for Child Health, Hangzhou, China, Hu SunNeurosurgery of Zhejiang Hospital, Hangzhou, China, Hongxi ZhangDepartment of Radiology, Children's Hospital, Zhejiang University School of Medicine, National Clinical Research Center for Child Health, Hangzhou, China, Li ZhaoCollege of Biomedical Engineering and Instrument Science, Zhejiang University, Hangzhou, China

Special Issue on MICCAI Open Data 2024-2025
Fengyi JiangIntuitive Surgical, Inc., Sunnyvale, CA, USA, Xiaorui ZhangIntuitive Surgical, Inc., Sunnyvale, CA, USA, Lingbo JinIntuitive Surgical, Inc., Sunnyvale, CA, USA, Ruixing LiangIntuitive Surgical, Inc., Sunnyvale, CA, USAFengyi JiangIntuitive Surgical, Inc., Sunnyvale, CA, USA et al.
Johns Hopkins Medicine Neurosurgery, Baltimore, MD, USA
Johns Hopkins University Electrical and Computer Engineering, Baltimore, MD, USA, Yuxin ChenIntuitive Surgical, Inc., Sunnyvale, CA, USA
University of British Columbia Electrical and Computer Engineering, Vancouver, BC, Canada, Adi Chola VenkateshIntuitive Surgical, Inc., Sunnyvale, CA, USA, Jason CulmanIntuitive Surgical, Inc., Sunnyvale, CA, USA, Tiantian WuWilford & Kate Bailey Small Animal Teaching Hospital, Auburn, AL, USA, Lirong ShaoIntuitive Surgical, Inc., Sunnyvale, CA, USA, Wenqing SunIntuitive Surgical, Inc., Sunnyvale, CA, USA, Cong GaoIntuitive Surgical, Inc., Sunnyvale, CA, USA, Hallie McNamaraIntuitive Surgical, Inc., Sunnyvale, CA, USA, Jingpei LuIntuitive Surgical, Inc., Sunnyvale, CA, USA, Omid MohareriIntuitive Surgical, Inc., Sunnyvale, CA, USA

PediDemi - A Pediatric Demyelinating Lesion Segmentation Dataset
2025/12/31Special Issue on MICCAI Open Data 2024-2025
Maria PopaDepartment of Computer Science, Faculty of Mathematics and Computer Science, Babeș Bolyai University Cluj-Napoca, Romania, Mihail Kogălniceanu 1, Gabriela Adriana VișaThe Clinical Pediatric Hospital Sibiu, Pompeiu Onofreiu 2-4, Sibiu, Romania

BaMBo: An Annotated Bone Marrow Biopsy Dataset for Segmentation Task
2025/12/31Special Issue on MICCAI Open Data 2024-2025
Anilpreet SinghDepartment of Computer Science and Engineering, Indian Institute of Technology Ropar, Roopnagar, India
Department of Computer Science and Engineering, Thapar Institute of Engineering and Technology, Patiala, India, Satyender DharamdasaniDepartment of Hematology, Postgraduate Institute of Medical Education and Research, Chandigarh, India, Praveen SharmaDepartment of Hematology, Postgraduate Institute of Medical Education and Research, Chandigarh, India, Sukrit GuptaDepartment of Computer Science and Engineering, Indian Institute of Technology Ropar, Roopnagar, India

Special Issue on MICCAI Open Data 2024-2025
Frauke WilmMIRA Vision Microscopy GmbH, 73037 Göppingen, Germany
Pattern Recognition Lab, Department of Computer Science, Friedrich-Alexander-Universität (FAU) Erlangen-Nürnberg, Erlangen, Germany, Luis Carlos Rivera MonroyMIRA Vision Microscopy GmbH, 73037 Göppingen, Germany
Pattern Recognition Lab, Department of Computer Science, Friedrich-Alexander-Universität (FAU) Erlangen-Nürnberg, Erlangen, Germany, Mathias ÖttlMIRA Vision Microscopy GmbH, 73037 Göppingen, Germany
Pattern Recognition Lab, Department of Computer Science, Friedrich-Alexander-Universität (FAU) Erlangen-Nürnberg, Erlangen, Germany, Lukas MürdterMIRA Vision Microscopy GmbH, 73037 Göppingen, Germany, Leonid MillMIRA Vision Microscopy GmbH, 73037 Göppingen, Germany
Pattern Recognition Lab, Department of Computer Science, Friedrich-Alexander-Universität (FAU) Erlangen-Nürnberg, Erlangen, Germany, Andreas MaierPattern Recognition Lab, Department of Computer Science, Friedrich-Alexander-Universität (FAU) Erlangen-Nürnberg, Erlangen, Germany

BoMBR: An Annotated Bone Marrow Biopsy Dataset for Segmentation of Reticulin Fibers
2025/12/31Special Issue on MICCAI Open Data 2024-2025
Panav RainaDepartment of Computer Science and Engineering, Indian Institute of Technology Ropar, Roopnagar, India
Department of Computer Science and Engineering, UIET, Panjab University, Chandigarh, India, Satyender DharamdasaniDepartment of Hematology, Postgraduate Institute of Medical Education and Research, Chandigarh, India, Dheeraj ChinnamDepartment of Hematology, Postgraduate Institute of Medical Education and Research, Chandigarh, India, Praveen SharmaDepartment of Hematology, Postgraduate Institute of Medical Education and Research, Chandigarh, India, Sukrit GuptaDepartment of Computer Science and Engineering, Indian Institute of Technology Ropar, Roopnagar, India

T-SYNTH: A Knowledge-Based Dataset of Synthetic Breast Images
2025/12/31Special Issue on MICCAI Open Data 2024-2025
Christopher WiedemanOffice of Science and Engineering Laboratories, Center for Devices and Radiological Health, U.S. Food and Drug Administration, Silver Spring, MD 20993 USA, Anastasiia SarmakeevaOffice of Science and Engineering Laboratories, Center for Devices and Radiological Health, U.S. Food and Drug Administration, Silver Spring, MD 20993 USA, Elena SizikovaOffice of Science and Engineering Laboratories, Center for Devices and Radiological Health, U.S. Food and Drug Administration, Silver Spring, MD 20993 USA, Daniil FilienkoOffice of Science and Engineering Laboratories, Center for Devices and Radiological Health, U.S. Food and Drug Administration, Silver Spring, MD 20993 USA, Miguel LagoOffice of Science and Engineering Laboratories, Center for Devices and Radiological Health, U.S. Food and Drug Administration, Silver Spring, MD 20993 USA, Jana G. DelfinoOffice of Science and Engineering Laboratories, Center for Devices and Radiological Health, U.S. Food and Drug Administration, Silver Spring, MD 20993 USA, Aldo BadanoOffice of Science and Engineering Laboratories, Center for Devices and Radiological Health, U.S. Food and Drug Administration, Silver Spring, MD 20993 USA

CTSpine1K: A Large-Scale Dataset for Spinal Vertebrae Segmentation in Computed Tomography
2025/12/31Special Issue on MICCAI Open Data 2024-2025
Yang DengKey Lab of Intelligent Information Processing of Chinese Academy of Sciences, Institute of Computing Technology, Chinese Academy of Sciences, Beijing, 100190, ChinaYang DengKey Lab of Intelligent Information Processing of Chinese Academy of Sciences, Institute of Computing Technology, Chinese Academy of Sciences, Beijing, 100190, China
Suzhou Institute of Intelligent Computing Technology, Chinese Academy of Sciences, Suzhou, 215028, China
School of Biomedical Engineering, Division of Life Sciences and Medicine, University of Science and Technology of China, Hefei, Anhui, and also with the Center for Medical Imaging, Robotics, Analytic Computing & Learning (MIRACLE), Suzhou Institute for Advanced Research, University of Science and Technology of China, Suzhou, Jiangsu, China et al.
Suzhou Institute of Intelligent Computing Technology, Chinese Academy of Sciences, Suzhou, 215028, China
School of Biomedical Engineering, Division of Life Sciences and Medicine, University of Science and Technology of China, Hefei, Anhui, and also with the Center for Medical Imaging, Robotics, Analytic Computing & Learning (MIRACLE), Suzhou Institute for Advanced Research, University of Science and Technology of China, Suzhou, Jiangsu, China, Ce WangKey Lab of Intelligent Information Processing of Chinese Academy of Sciences, Institute of Computing Technology, Chinese Academy of Sciences, Beijing, 100190, China
Suzhou Institute of Intelligent Computing Technology, Chinese Academy of Sciences, Suzhou, 215028, China, Yuan HuiKey Lab of Intelligent Information Processing of Chinese Academy of Sciences, Institute of Computing Technology, Chinese Academy of Sciences, Beijing, 100190, China
Suzhou Institute of Intelligent Computing Technology, Chinese Academy of Sciences, Suzhou, 215028, China, Qian LiKey Lab of Intelligent Information Processing of Chinese Academy of Sciences, Institute of Computing Technology, Chinese Academy of Sciences, Beijing, 100190, China
Suzhou Institute of Intelligent Computing Technology, Chinese Academy of Sciences, Suzhou, 215028, China, Jun LiKey Lab of Intelligent Information Processing of Chinese Academy of Sciences, Institute of Computing Technology, Chinese Academy of Sciences, Beijing, 100190, China, Shiwei LuoDepartment of Radiology, Guangzhou First People's Hospital, School of Medicine, South China University of Technology, Guangzhou, 510006, China, Mengke SunKey Lab of Intelligent Information Processing of Chinese Academy of Sciences, Institute of Computing Technology, Chinese Academy of Sciences, Beijing, 100190, China, Quan QuanKey Lab of Intelligent Information Processing of Chinese Academy of Sciences, Institute of Computing Technology, Chinese Academy of Sciences, Beijing, 100190, China, Shuxin YangKey Lab of Intelligent Information Processing of Chinese Academy of Sciences, Institute of Computing Technology, Chinese Academy of Sciences, Beijing, 100190, China, You HaoKey Lab of Intelligent Information Processing of Chinese Academy of Sciences, Institute of Computing Technology, Chinese Academy of Sciences, Beijing, 100190, China
Suzhou Institute of Intelligent Computing Technology, Chinese Academy of Sciences, Suzhou, 215028, China, Pengbo LiuKey Lab of Intelligent Information Processing of Chinese Academy of Sciences, Institute of Computing Technology, Chinese Academy of Sciences, Beijing, 100190, China, Honghu XiaoBeijing Jishuitan Hospital, Beijing, 100035, China, Chunpeng ZhaoBeijing Jishuitan Hospital, Beijing, 100035, China, Xinbao WuBeijing Jishuitan Hospital, Beijing, 100035, China, S. Kevin ZhouKey Lab of Intelligent Information Processing of Chinese Academy of Sciences, Institute of Computing Technology, Chinese Academy of Sciences, Beijing, 100190, China
Suzhou Institute of Intelligent Computing Technology, Chinese Academy of Sciences, Suzhou, 215028, China
School of Biomedical Engineering, Division of Life Sciences and Medicine, University of Science and Technology of China, Hefei, Anhui, and also with the Center for Medical Imaging, Robotics, Analytic Computing & Learning (MIRACLE), Suzhou Institute for Advanced Research, University of Science and Technology of China, Suzhou, Jiangsu, China

Special issue on FAIMI
Gökhan ÖzbulakIdiap Research Institute, Martigny, Switzerland
École Polytechnique Fédérale de Lausanne (EPFL), Lausanne, Switzerland, Oscar Jimenez-del-ToroIdiap Research Institute, Martigny, Switzerland, Maíra FatorettoFederal University of São Paulo (UNIFESP), São Paulo, Brazil, Lilian BertonFederal University of São Paulo (UNIFESP), São Paulo, Brazil, André AnjosIdiap Research Institute, Martigny, Switzerland

Understanding-informed Bias Mitigation for Fair CMR Segmentation
2025/12/30Special issue on FAIMI
Tiarna LeeSchool of Biomedical Engineering & Imaging Sciences, King’s College London, Esther Puyol-AntonSchool of Biomedical Engineering & Imaging Sciences, King’s College London
HeartFlow Inc, United States, Bram RuijsinkSchool of Biomedical Engineering & Imaging Sciences, King’s College London
Guy’s and St Thomas’ NHS Foundation Trust, Pier-Giorgio MasciSchool of Biomedical Engineering & Imaging Sciences, King’s College London, Louise KeehnBritish Heart Foundation Centre, Department of Clinical Pharmacology, King’s College London, Phil ChowienczykBritish Heart Foundation Centre, Department of Clinical Pharmacology, King’s College London, Emily HaselerBritish Heart Foundation Centre, Department of Clinical Pharmacology, King’s College London, Miaojing ShiCollege of Electronic and Information Engineering, Tongji University, Andrew KingSchool of Biomedical Engineering & Imaging Sciences, King’s College London


December 2025 issue
Ahmed W. MoawadTrinity health Mid Atlantic Hospitals, Darby, PA, USAAhmed W. MoawadTrinity health Mid Atlantic Hospitals, Darby, PA, USA
Equal First Authors
Organizer
Data contributors et al.
Equal First Authors
Organizer
Data contributors, Anastasia JanasDepartment of Radiology and Biomedical Imaging, Yale School of Medicine, New Haven, CT, USA
Equal First Authors
Organizer
Data contributors
International lead, Ujjwal BaidDivision of Computational Pathology, Department of Pathology and Laboratory Medicine, School of Medicine, Indiana University, Indianapolis, IN, USA
Equal First Authors
Organizer
Data contributors, Divya RamakrishnanDepartment of Radiology and Biomedical Imaging, Yale School of Medicine, New Haven, CT, USA
Equal First Authors
Organizer
Data contributors, Rachit SalujaDepartment of Electrical and Computer Engineering, Cornell University and Cornell Tech, New York, NY, USA
Department of Radiology, Weill Cornell Medicine, New York, NY, USA
Equal First Authors
Organizer
Data contributors
BraTS2024 Organizer, Nader AshrafDepartment of Radiology, Children’s Hospital of Philadelphia, Philadelphia, PA, USA
College of Medicine, Alfaisal University, Riyadh, Saudi Arabia
Equal First Authors
Organizer
Data contributors
BraTS2024 Organizer, Nazanin MalekiDepartment of Radiology and Biomedical Imaging, Yale School of Medicine, New Haven, CT, USA
Department of Radiology, Children’s Hospital of Philadelphia, Philadelphia, PA, USA
Equal First Authors
Organizer
Data contributors
International lead, Leon JekelDKFZ Division of Translational Neurooncology at the WTZ, German Cancer Consortium, DKTK Partner Site, University Hospital Essen, Essen, Germany
Equal First Authors
Organizer
Data contributors, Nikolay YordanovFaculty of Medicine, Medical University - Sofia, Sofia, Bulgaria
International lead
Super Annotator, Pascal FehringerFaculty of Medicine, Jena University Hospital, Friedrich Schiller University Jena, Jena, Germany
International lead
Super Annotator, Athanasios GkampenisUniversity of Ioannina School of Medicine, Ioannina, Greece
International lead
Super Annotator, Raisa AmiruddinDepartment of Radiology, Children’s Hospital of Philadelphia, Philadelphia, PA, USA
Organizer
International lead, Amirreza ManteghinejadDepartment of Radiology, Children’s Hospital of Philadelphia, Philadelphia, PA, USA
Organizer, Maruf AdewoleMedical Artificial Intelligence Lab, Crestview Radiology, Lagos, Nigeria
Organizer, Jake AlbrechtSage Bionetworks, Seattle, WA, USA
Organizer, Udunna AnazodoMedical Artificial Intelligence Lab, Crestview Radiology, Lagos, Nigeria
Montreal Neurological Institute, McGill University, Montreal, Canada
Organizer, Sanjay AnejaDepartment of Therapeutic Radiology, Yale School of Medicine, New Haven, CT, USA
Organizer, Syed Muhammad AnwarSheikh Zayed Institute for Pediatric Surgical Innovation, Children’s National Hospital, Washington, D.C., USA
Organizer, Timothy BergquistDepartment of Radiology, Mayo Clinic, Rochester, MN, USA
Organizer, Veronica ChiangDepartment of Neurosurgery, Yale School of Medicine, New Haven, CT, USA
Organizer, Verena ChungSage Bionetworks, Seattle, WA, USA
Organizer, Gian Marco ConteDepartment of Radiology, Mayo Clinic, Rochester, MN, USA
Organizer, Farouk DakoCenter for Global Health, Perelman School of Medicine, University of Pennsylvania, PA, USA
Organizer, James EddySage Bionetworks, Seattle, WA, USA
Organizer, Ivan EzhovDepartment of Informatics, Technical University Munich, Germany
Organizer, Nastaran KhaliliCenter for Data-Driven Discovery in Biomedicine, Children’s Hospital of Philadelphia, Philadelphia, PA, USA
Organizer, Keyvan FarahaniCancer Imaging Program, National Cancer Institute, National Institutes of Health, Bethesda, MD, USA
Organizer, Juan Eugenio IglesiasAthinoula A. Martinos Center for Biomedical Imaging, Massachusetts General Hospital, Boston, MA, USA
Organizer, Zhifan JiangChildren’s National Hospital, Washington, D.C., USA
Organizer, Elaine JohansonPrecisionFDA, U.S. Food and Drug Administration, Silver Spring, MD, USA
Organizer, Anahita Fathi KazerooniCenter for Data-Driven Discovery in Biomedicine, Children’s Hospital of Philadelphia, Philadelphia, PA, USA
Department of Neurosurgery, University of Pennsylvania, Philadelphia, PA, USA
Division of Neurosurgery, Children’s Hospital of Philadelphia, Philadelphia, PA, USA
Organizer, Florian KoflerDepartment of Neuroradiology, Technical University of Munich, Munich, Germany
Organizer, Kiril KrantchevDepartment of Radiology and Biomedical Imaging, Yale School of Medicine, New Haven, CT, USA
Organizer
Data contributors
Annotator
International lead, Dominic LaBellaDepartment of Radiation Oncology, Duke University Medical Center, Durham, NC, USA
Organizer, Koen Van LeemputDepartment of Applied Mathematics and Computer Science, Technical University of Denmark, Denmark
Organizer, Hongwei Bran LiAthinoula A. Martinos Center for Biomedical Imaging, Massachusetts General Hospital, Boston, MA, USA
Organizer, Marius George LinguraruSheikh Zayed Institute for Pediatric Surgical Innovation, Children’s National Hospital, Washington, D.C., USA
Departments of Radiology and Pediatrics, George Washington University School of Medicine and Health Sciences, Washington, D.C., USA
Organizer, Xinyang LiuChildren’s National Hospital, Washington, D.C., USA
Organizer, Zeke MeierBooz Allen Hamilton, McLean, VA, USA
Organizer, Bjoern H MenzeBiomedical Image Analysis & Machine Learning, Department of Quantitative Biomedicine, University of Zurich, Switzerland
Organizer, Harrison MoyDepartment of Radiology and Biomedical Imaging, Yale School of Medicine, New Haven, CT, USA
Organizer
Data contributors
Annotator, Klara OsenbergDepartment of Radiology and Biomedical Imaging, Yale School of Medicine, New Haven, CT, USA
Organizer
Data contributors, Marie PiraudHelmholtz AI, Helmholtz Munich, Germany
Organizer, Zachary ReitmanDepartment of Radiation Oncology, Duke University Medical Center, Durham, NC, USA
Organizer, Russell Takeshi ShinoharaCenter for Clinical Epidemiology and Biostatistics, University of Pennsylvania, Philadelphia, PA, USA
Organizer, Chunhao WangDepartment of Radiation Oncology, Duke University Medical Center, Durham, NC, USA
Organizer, Benedikt WiestlerDepartment of Neuroradiology, Technical University of Munich, Munich, Germany
Organizer, Walter WigginsDuke University School of Medicine, Durham, NC, USA
Organizer, Umber ShafiqueDepartment of Radiology and Imaging Sciences, Indiana University, Indianapolis, IN, USA
Organizer
Super Approver, Klara WillmsDepartment of Radiology and Biomedical Imaging, Yale School of Medicine, New Haven, CT, USA
Data contributors, Arman AvestaDepartment of Radiology and Biomedical Imaging, Yale School of Medicine, New Haven, CT, USA
Department of Radiology, Neuroradiology, Massachusetts General Hospital, Boston, MA, USA
Data contributors, Khaled BousabarahVisage Imaging, GmbH, Berlin, Germany
Data contributors
Annotator, Satrajit ChakrabartyDepartment of Electrical and Systems Engineering, Washington University in St. Louis, St. Louis, MO, USA
GE HealthCare, San Ramon, CA, USA
Data contributors, Nicolo GennaroDepartment of Radiology, Northwestern University, Feinberg School of Medicine, Chicago, IL, USA
Data contributors, Wolfgang HollerVisage Imaging, GmbH, Berlin, Germany
Data contributors
Annotator, Manpreet KaurLudwig Maximilian University, Munich, Germany
Data contributors
Annotator, Pamela LaMontagneMallinckrodt Institute of Radiology, Washington University School of Medicine, St. Louis, MO, USA
Data contributors, MingDe LinVisage Imaging, Inc, San Diego, CA, USA
Data contributors
Annotator, Jan LostDepartment of Neurosurgery, Heinrich-Heine University, Moorenstrasse 5, Dusseldorf, Germany
Data contributors
Annotator, Daniel S. MarcusMallinckrodt Institute of Radiology, Washington University School of Medicine, St. Louis, MO, USA
Data contributors, Ryan MarescaDepartment of Therapeutic Radiology, Yale School of Medicine, New Haven, CT, USA
Data contributors
Annotator, Sarah MerkajUniversity of Ulm, Ulm, Germany
Data contributors
Annotator, Gabriel Cassinelli PedersenUniversity of Göttingen, Göttingen, Germany
Data contributors
Annotator, Marc von ReppertUniversity of Leipzig, Leipzig, Germany
Data contributors
Annotator, Aristeidis SotirasMallinckrodt Institute of Radiology, Washington University School of Medicine, St. Louis, MO, USA
Institute for Informatics, Data Science & Biostatistics, Washington University School of Medicine, St. Louis, MO, USA
Data contributors, Oleg TeytelboymTrinity health Mid Atlantic Hospitals, Darby, PA, USA
Data contributors, Niklas TillmansDepartment of Diagnostic and Interventional Radiology, Medical Faculty, University Dusseldorf, Dusseldorf, Germany
Data contributors
Annotator, Malte WesterhoffVisage Imaging, GmbH, Berlin, Germany
Data contributors
Annotator, Ayda YoussefCairo University, Cairo, Egypt
Data contributors, Devon GodfreyDepartment of Radiation Oncology, Duke University Medical Center, Durham, NC, USA
Data contributors, Scott FloydDepartment of Radiation Oncology, Duke University Medical Center, Durham, NC, USA
Data contributors, Andreas RauscheckerDepartment of Radiology and Biomedical Imaging, University of California San Francisco, CA, USA
Data contributors, Javier Villanueva-MeyerDepartment of Radiology and Biomedical Imaging, University of California San Francisco, CA, USA
Data contributors, Irada PflügerDepartment of Neuroradiology, Heidelberg University Hospital, Heidelberg, Germany
Data contributors, Jaeyoung ChoDepartment of Neuroradiology, Heidelberg University Hospital, Heidelberg, Germany
Data contributors, Martin BendszusDepartment of Neuroradiology, Heidelberg University Hospital, Heidelberg, Germany
Data contributors, Gianluca BrugnaraDepartment of Neuroradiology, Heidelberg University Hospital, Heidelberg, Germany
Data contributors, Justin CramerDepartment of Radiology, Mayo Clinic, Phoenix, AZ, USA
Super Approver, Gloria J. Guzman Perez-CarilloNeuroradiology Section, Mallinckrodt Institute of Radiology, Washington University in St. Louis, St. Louis, MO, USA
Super Approver, Derek R. JohnsonDepartment of Radiology, Mayo Clinic, Rochester, MN, USA
Super Approver, Anthony KamLoyola University Medical Center, Hines, IL, USA
Super Approver, Benjamin Yin Ming KwanDepartment of Radiology, Queen’s University, Kingston, ON, Canada
Super Approver, Lillian LaiDepartment of Radiology, University of Iowa Hospitals and Clinics, Iowa City, IA, USA
Super Approver, Neil U. LallChildren’s Healthcare of Atlanta, GA, USA
Super Approver, Fatima MemonCarolina Radiology Associates, Myrtle Beach, SC, USA
McLeod Regional Medical Center, Florence, SC, USA
Medical University of South Carolina, Charleston, SC, USA
Super Approver, Mark KryciaCarolina Radiology Associates, Myrtle Beach, SC, USA
Super Approver, Satya Narayana PatroUniversity of Arkansas Medical Center, Little Rock, AR, USA
Super Approver, Bojan PetrovicNorthShore Endeavor Health, Evanston, IL, USA
Super Approver, Tiffany Y. SoDepartment of Imaging and Interventional Radiology, The Chinese University of Hong Kong, Hong Kong SAR
Super Approver, Gerard ThompsonCentre for Clinical Brain Sciences, University of Edinburgh, Edinburgh, United Kingdom
Department of Clinical Neurosciences, NHS Lothian, Edinburgh, United Kingdom
Super Approver, Lei WuDepartment of Radiology, University of Washington, Seattle, WA, USA
Super Approver, E. Brooke SchrickelDepartment of Radiology, Ohio State University College of Medicine, Columbus, OH, USA
Super Approver, Anu BansalAlbert Einstein Medical Center, Hartford, CT, USA
Rest of Approvers, Frederik BarkhofAmsterdam UMC, location Vrije Universiteir, Netherlands
University College London, United Kingdom
Rest of Approvers, Cristina BesadaHospital Italiano de Buenos Aires, Buenos Aires, Argentina
Rest of Approvers, Sammy ChuDepartment of Radiology, University of Washington, Seattle, WA, USA
Rest of Approvers, Jason DruzgalDepartment of Radiology and Medical Imaging, University of Virginia, Charlottesville, Virginia, USA
Rest of Approvers, Alexandru DusoiKlinikum Hochrhein, Waldshut-Tiengen, Germany
Rest of Approvers, Luciano FarageCentro Universitario Euro-Americana (UNIEURO), Bras´ılia, DF, Brazil
Rest of Approvers, Fabricio FeltrinDepartment of Radiology, University of Texas Southwestern Medical Center, Dallas, TX, USA
Rest of Approvers, Amy FongSouthern District Health Board, Dunedin, New Zealand
Rest of Approvers, Steve H. FungDepartment of Radiology, Houston Methodist, Houston, TX, USA
Rest of Approvers, R. Ian GrayUniversity of Tennessee Medical Center, Knoxville, TN, USA
Rest of Approvers, Ichiro IkutaDepartment of Radiology, Mayo Clinic, Phoenix, AZ, USA
Rest of Approvers, Michael IvDepartment of Radiology, Stanford University, Stanford, CA, USA
Rest of Approvers, Alida A. PostmaDepartment of Radiology and Nuclear Medicine, Maastricht University Medical Center, Maastricht, the Netherlands
Mental Health and Neuroscience Research Institute, Maastricht University, Maastricht, the Netherlands
Rest of Approvers, Amit MahajanDepartment of Radiology and Biomedical Imaging, Yale School of Medicine, New Haven, CT, USA
Rest of Approvers, David JoynerDepartment of Radiology and Medical Imaging, University of Virginia, Charlottesville, Virginia, USA
Rest of Approvers, Chase KrumpelmanDepartment of Radiology, Northwestern University, Feinberg School of Medicine, Chicago, IL, USA
Rest of Approvers, Laurent Letourneau-GuillonCentre Hospitalier de l’Universite de Montreal and Centre de Recherche du CHUM Montreal, Canada
Rest of Approvers, Christie M. LincolnDepartment of Neuroradiology, MD Anderson Cancer Center, Houston, TX, USA
Rest of Approvers, Mate E. MarosDepartments of Neuroradiology & Biomedical Informatics, Medical Faculty Mannheim, Heidelberg University, Mannheim, Germany
Rest of Approvers, Elka MillerDepartment of Diagnostic and Interventional Radiology, SickKids Hospital, University of Toronto, Canada
Rest of Approvers, Fanny MorónDepartment of Radiology, Baylor College of Medicine, Houston, TX, USA
Rest of Approvers, Esther A. NimchinskyDepartment of Radiology, New Jersey Medical School, Newark, NJ, USA
Rest of Approvers, Ozkan OzsarlakDepartment of Radiology, AZ Monica, Antwerp Area, Belgium
Rest of Approvers, Uresh PatelMedicolegal Imaging Experts LLC, Mercer Island, WA, USA
Rest of Approvers, Saurabh RohatgiDepartment of Radiology, Neuroradiology, Massachusetts General Hospital, Boston, MA, USA
Rest of Approvers, Atin SahaDepartment of Radiology, Memorial Sloan Kettering Cancer Center, New York, NY, USA
Weill Cornell Medical College, New York, NY, USA
Rest of Approvers, Anousheh SayahMedStar Georgetown University Hospital, Washington, D.C., USA
Rest of Approvers, Eric D. SchwartzDepartment of Radiology, St.Elizabeth’s Medical Center, Boston, MA, USA
Department of Radiology, Tufts University School of Medicine, Boston, MA, USA
Rest of Approvers, Robert ShihWalter Reed National Military Medical Center, Bethesda, MD, USA
Rest of Approvers, Mark S. ShiroishiKeck School of Medicine, Los Angeles, CA, USA
Rest of Approvers, Juan E. SmallLahey Hospital and Medical Center, Burlington, MA, USA
Rest of Approvers, Manoj TanwarDepartment of Radiology, University of Alabama, Birmingham, AL, USA
Rest of Approvers, Jewels ValerieDepartment of Radiology, University of North Carolina School of Medicine, Chapel Hill, NC, USA
Rest of Approvers, Brent D. WeinbergDepartment of Radiology and Imaging Sciences, Emory University, Atlanta, GA, USA
Rest of Approvers, Matthew L. WhiteUniversity of Nebraska Medical Center, Omaha, NE, USA
Rest of Approvers, Robert YoungDepartment of Radiology, Memorial Sloan Kettering Cancer Center, New York, NY, USA
Rest of Approvers, Vahe M. ZohrabianNorthwell Health, Zucker Hofstra School of Medicine at Northwell, North Shore University Hospital, Hempstead, New York, NY, USA
Rest of Approvers, Aynur AzizovaCancer Center Amsterdam, Imaging and Biomarkers, Amsterdam, The Netherlands
Rest of Approvers, Melanie Maria Theresa BrüßelerLudwig Maximilian University, Munich, Germany
Super Annotator, Mohanad GhonimDepartment of Radiology, Ain Shams University, Cairo, Egypt
Super Annotator, Mohamed GhonimDepartment of Radiology, Ain Shams University, Cairo, Egypt
Super Annotator, Abdullah OkarUniversity of Hamburg, University Medical Center Hamburg-Eppendorf, Hamburg, Germany
Super Annotator, Luca PasquiniDepartment of Radiology, Memorial Sloan Kettering Cancer Center, New York, NY, USA
Super Annotator, Yasaman SharifiDepartment of Radiology, Iran University of Medical Sciences, Tehran, Iran
Super Annotator, Gagandeep SinghColumbia University Irving Medical Center, New York, NY, USA
Super Annotator, Nico SollmannDepartment of Diagnostic and Interventional Radiology, University Hospital Ulm, Ulm, Germany
Department of Diagnostic and Interventional Neuroradiology, School of Medicine, Klinikum rechts der Isar, Technical University of Munich, Munich, Germany
TUM-Neuroimaging Center, Klinikum rechts der Isar, Technical University of Munich, Munich, Germany
Super Annotator, Theodora SoumalaUniversity of Ioannina School of Medicine, Ioannina, Greece
Super Annotator, Mahsa TaherzadehDepartment of Radiology, Arad Hospital, Tehran, Iran
Super Annotator, Philipp VollmuthDepartment of Neuroradiology, Heidelberg University Hospital, Heidelberg, Germany
Department of Medical Image Computing, German Cancer Research Center (DKFZ), Heidelberg, Germany
Data contributors
BraTS2024 Organizer, Martha Foltyn-DumitruDepartment of Neuroradiology, Heidelberg University Hospital, Heidelberg, Germany
Data contributors
BraTS2024 Organizer, Ajay MalhotraDepartment of Radiology and Biomedical Imaging, Yale School of Medicine, New Haven, CT, USA
Data contributors
BraTS2024 Organizer, Aly H. AbayazeedDepartment of Radiology, Stanford University, Stanford, CA, USA
BraTS2024 Organizer, Francesco DellepianeFunctional and Interventional Neuroradiology Unit, Bambino Gesù Children’s Hospital, Rome, Italy
BraTS2024 Organizer, Philipp LohmannInstitute of Neuroscience and Medicine (INM-4), Research Center Juelich, Juelich, Germany
Department of Nuclear Medicine, University Hospital RWTH Aachen, Aachen, Germany
BraTS2024 Organizer, Víctor M. Pérez-GarcíaMathematical Oncology Laboratory & Department of Mathematics, University of Castilla-La Mancha, Spain
BraTS2024 Organizer, Hesham ElhalawaniDepartment of Radiation Oncology, Brigham and Women’s Hospital, Harvard Medical School, Boston, MA, USA
BraTS2024 Organizer, Maria Correia de VerdierDepartment of Surgical Sciences, Section of Neuroradiology, Uppsala University, Sweden
Department of Radiology, University of California San Diego, CA, USA
BraTS2024 Organizer, Sanaria Al-RubaieyCharité-Universitätsmedizin Berlin (Corporate Member of Freie Universität Berlin, Humboldt-Universität zu Berlin, and Berlin Institute of Health), Berlin, Germany
Rest of Annotators, Rui Duarte ArmindoDepartment of Neuroradiology, Western Lisbon Hospital Centre (CHLO), Portugal
Rest of Annotators, Kholod AshrafCairo University, Cairo, Egypt
Rest of Annotators, Moamen M. AslaZagazig University, Zagazig, Egypt
Rest of Annotators, Mohamed BadawyDiagnostic Radiology Department, Wayne State University, Detroit, MI
Rest of Annotators, Jeroen BisschopInstitute of Diagnostic and Interventional Radiology, University Hospital Zurich, University of Zurich, Zurich, Switzerland.
Rest of Annotators, Nima Broomand LomerFaculty of Medicine, Guilan University of Medical Sciences, Rasht, Iran
Rest of Annotators, Jan BukatzCharité-Universitätsmedizin Berlin (Corporate Member of Freie Universität Berlin, Humboldt-Universität zu Berlin, and Berlin Institute of Health), Berlin, Germany
Rest of Annotators, Jim ChenDepartment of Radiology/Division of Neuroradiology, San Diego Veterans Administration Medical Center/UC San Diego Health System, San Diego, CA, USA
Rest of Annotators, Petra CimflovaDepartment of Radiology, University of Calgary, Calgary, Canada
Rest of Annotators, Felix CorrEDU Institute of Higher Education, Villa Bighi, Chaplain’s House, Kalkara, Malta
Rest of Annotators, Alexis CrawleyBay Imaging Consultants, Walnut Creek, CA, USA
Rest of Annotators, Lisa DeptulaRoss University School of Medicine, Bridgetown, Barbados
Rest of Annotators, Tasneem ElakhdarCairo University, Cairo, Egypt
Rest of Annotators, Islam H. ShawaliCairo University, Cairo, Egypt
Rest of Annotators, Shahriar FaghaniDepartment of Radiology, Mayo Clinic, Rochester, MN, USA
Rest of Annotators, Alexandra FrickDepartment of Neurosurgery, Vivantes Klinikum Neukölln, Berlin, Germany
Rest of Annotators, Vaibhav GulatiMercy Catholic Medical Center, Darby, PA, USA
Rest of Annotators, Muhammad Ammar HaiderC.M.H. Lahore Medical College, Lahore, Pakistan
Rest of Annotators, Fátima HierroNeuroradiology Department, Pedro Hispano Hospital, Matosinhos, Portugal
Rest of Annotators, Rasmus Holmboe DahlDepartment of Radiology, Copenhagen University Hospital - Rigshospitalet, Copenhagen, Denmark
Rest of Annotators, Sarah Maria JacobsRijnstate Hospital, Arnhem, Netherlands
Rest of Annotators, Kuang-chun Jim HsiehDepartment of Radiology, Baylor College of Medicine, Houston, TX, USA
Rest of Annotators, Sedat G. KandemirliDepartment of Radiology, University of Iowa Hospitals and Clinics, Iowa City, IA, USA
Rest of Annotators, Katharina KerstingCharité-Universitätsmedizin Berlin (Corporate Member of Freie Universität Berlin, Humboldt-Universität zu Berlin, and Berlin Institute of Health), Berlin, Germany
Rest of Annotators, Laura KidaCharité-Universitätsmedizin Berlin (Corporate Member of Freie Universität Berlin, Humboldt-Universität zu Berlin, and Berlin Institute of Health), Berlin, Germany
Rest of Annotators, Sofia KolliaNational and Kapodistrian University of Athens, School of Medicine, Athens, Greece
Rest of Annotators, Ioannis KoukoulithrasDepartment of Neurosurgery, University Hospital of Ioannina, Ioannina, Greece
Rest of Annotators, Xiao LiDepartment of Radiology and Imaging Sciences, Emory University, Atlanta, GA, USA
Rest of Annotators, Ahmed AbouelattaCairo University, Cairo, Egypt
Rest of Annotators, Aya MansourCairo University, Cairo, Egypt
Rest of Annotators, Ruxandra-Catrinel Maria-ZamfirescuCharité-Universitätsmedizin Berlin (Corporate Member of Freie Universität Berlin, Humboldt-Universität zu Berlin, and Berlin Institute of Health), Berlin, Germany
Rest of Annotators, Marcela MarsigliaDepartment of Radiology, Brigham and Women’s Hospital, Massachusetts General Hospital, Boston, MA, USA
Rest of Annotators, Yohana Sarahi Mateo-CamachoDepartment of Neuroradiology, Universidad Autónoma de Nuevo León, México
Rest of Annotators, Mark McArthurDepartment of Radiological Sciences, University of California Los Angeles, Los Angeles, CA, USA
Rest of Annotators, Olivia McDonnellGold Coast University Hospital, Queensland Health, Australia
Rest of Annotators, Maire McHughDepartment of Radiology Manchester NHS Foundation Trust, North West School of Radiology, Manchester, United Kingdom
Rest of Annotators, Mana MoassefiArtificial Intelligence Lab, Department of Radiology, Mayo Clinic, Rochester, MN, USA
Rest of Annotators, Samah Mostafa MorsiDepartment of Neuroradiology, MD Anderson Cancer Center, Houston, TX, USA
Rest of Annotators, Alexander MunteanuCorewell Health West, MI, USA
Rest of Annotators, Khanak K. NandoliaDepartment of Radiodiagnosis, All India Institute of Medical Sciences Rishikesh, India
Rest of Annotators, Syed Raza NaqviWindsor Regional Hospital, Western University, Ontario, Canada
Rest of Annotators, Yalda NikanpourArtificial Intelligence & Informatics, Mayo Clinic, Rochester, MN, USA
Rest of Annotators, Mostafa AlnouryDepartment of Radiology, University of Pennsylvania, PA, USA
Rest of Annotators, Abdullah Mohamed Aly NouhDepartment of Radiology, Life Care Hospital, Freetown, Sierra Leone
Rest of Annotators, Francesca PappafavaDepartment of Medicine and Surgery, Università degli Studi di Perugia, Italy
Rest of Annotators, Markand D. PatelDepartment of Neuroradiology, Imperial College Healthcare NHS Trust, London, United Kingdom
Rest of Annotators, Samantha PetrucciDepartment of Radiology and Biomedical Imaging, University of California San Francisco, CA, USA
Rest of Annotators, Eric RawieDepartment of Radiology, Michigan Medicine, Ann Arbor, MI, USA
Rest of Annotators, Scott RaymondDepartment of Radiology, University of Vermont Medical Center, Burlington, VT, USA
Rest of Annotators, Borna RoohaniUniversity of Hamburg, University Medical Center Hamburg-Eppendorf, Hamburg, Germany
Rest of Annotators, Sadeq SabouhiIsfahan University of Medical Sciences, Isfahan, Iran
Rest of Annotators, Laura M. Sanchez-GarciaDepartment of Radiology, The American British Cowdray Medical Center, Mexico City, Mexico
Rest of Annotators, Zoe ShakedCharité-Universitätsmedizin Berlin (Corporate Member of Freie Universität Berlin, Humboldt-Universität zu Berlin, and Berlin Institute of Health), Berlin, Germany
Rest of Annotators, Pokhraj P. SutharRush University Medical Center, Chicago, IL, USA
Rest of Annotators, Talissa AltesRadiology Department, University of Missouri, Columbia, MO, USA
Rest of Annotators, Edvin IsufiRadiology Department, University of Missouri, Columbia, MO, USA
Rest of Annotators, Yaseen DhemeshWashington University School of Medicine in St. Louis, St. Louis, MO, USA
Rest of Annotators, Jaime GassRadiology Department, University of Missouri, Columbia, MO, USA
Rest of Annotators, Jonathan ThackerRadiology Department, University of Missouri, Columbia, MO, USA
Rest of Annotators, Abdul Rahman TarabishyDepartment of NeuroRadiology, Rockefeller Neuroscience Institute, West Virginia University. Morgantown, WV, USA
Rest of Annotators, Benjamin TurnerLeeds Teaching Hospitals NHS Trust, Leeds, United Kingdom
Rest of Annotators, Sebastiano VaccaUniversity of Cagliari, School of Medicine and Surgery, Cagliari, Italy
Rest of Annotators, George K. VilanilamLeeds Teaching Hospitals NHS Trust, Leeds, United Kingdom
Rest of Annotators, Daniel WarrenWashington University School of Medicine in St. Louis, St. Louis, MO, USA
Rest of Annotators, David WeissDepartment of Diagnostic and Interventional Radiology and Neuroradiology, University Hospital Essen, Essen, Germany
Rest of Annotators, Fikadu WoredeDepartment of Radiology, Children’s Hospital of Philadelphia, Philadelphia, PA, USA
Rest of Annotators, Sara YousryCairo University, Cairo, Egypt
Rest of Annotators, Wondwossen LereboDepartment of Radiology, Children’s Hospital of Philadelphia, Philadelphia, PA, USA
Stats, Alejandro AristizabalMLCommons, San Francisco, CA, USA
Factored, Palo Alto, CA, USA
MLCommons, Alexandros KarargyrisMLCommons, San Francisco, CA, USA
MLCommons, Hasan KassemMLCommons, San Francisco, CA, USA
MLCommons, Sarthak PatiDivision of Computational Pathology, Department of Pathology and Laboratory Medicine, School of Medicine, Indiana University, Indianapolis, IN, USA
MLCommons, San Francisco, CA, USA
Center For Federated Learning in Medicine, Indiana University, Indianapolis, IN, USA
MLCommons, Micah ShellerMLCommons, San Francisco, CA, USA
Intel Corporation, Hillsboro, OR, USA
MLCommons, Katherine E. LinkNew York University School of Medicine, New York, NY, USA
Organizer
Data contributors, Evan CalabreseDepartment of Radiology, Duke University Medical Center, Durham, NC, USA
Organizer
Data contributors, Nourel hoda TahonRadiology Department, University of Missouri, Columbia, MO, USA
Organizer
Data contributors, Ayman NadaRadiology Department, University of Missouri, Columbia, MO, USA
Organizer
Data contributors, Yuri S. VelichkoDepartment of Radiology, Northwestern University, Feinberg School of Medicine, Chicago, IL, USA
Organizer
Data contributors, Spyridon BakasDivision of Computational Pathology, Department of Pathology and Laboratory Medicine, School of Medicine, Indiana University, Indianapolis, IN, USA
Department of Radiology and Imaging Sciences, Indiana University, Indianapolis, IN, USA
Department of Neurological Surgery, School of Medicine, Indiana University, Indianapolis, IN, USA
Organizer
Data contributors
Equal Senior Authors, Jeffrey D. RudieDepartment of Radiology, University of California San Diego, CA, USA
Department of Radiology, Scripps Clinic Medical Group, CA, USA
Organizer
Data contributors
Super Approver
Equal Senior Authors, Mariam AboianDepartment of Radiology, Children’s Hospital of Philadelphia, Philadelphia, PA, USA
Organizer
Data contributors
Super Approver
Equal Senior Authors

Learn2Reg 2024: New Benchmark Datasets Driving Progress on New Challenges
2025/12/21December 2025 issue
Lasse HansenEchoScout GmbH, Lübeck, DE, Wiebke HeyerInstitute of Medical Informatics, Universität zu Lübeck, Lübeck, DE, Christoph GroßbröhmerInstitute of Medical Informatics, Universität zu Lübeck, Lübeck, DE, Frederic MadestaInstitute of Applied Medical Informatics, University Medical Center Hamburg-Eppendorf, Hamburg, DELasse HansenEchoScout GmbH, Lübeck, DE et al.
Institute of Computational Neuroscience, University Medical Center Hamburg-Eppendorf, Hamburg, DE, Thilo SentkerInstitute of Applied Medical Informatics, University Medical Center Hamburg-Eppendorf, Hamburg, DE
Institute of Computational Neuroscience, University Medical Center Hamburg-Eppendorf, Hamburg, DE, Wang JiazhengSchool of Artificial Intelligence and Robotics, Hunan University, Changsha, CN, Yuxi ZhangSchool of Artificial Intelligence and Robotics, Hunan University, Changsha, CN, Hang ZhangCornell University, New York, US, Min LiuSchool of Artificial Intelligence and Robotics, Hunan University, Changsha, CN, Junyi WangUniversity of Electronic Science and Technology of China, Chengdu, CN, Xi ZhuUniversity of Electronic Science and Technology of China, Chengdu, CN, Yuhua LiMechanical Engineering Department, Tianjin University, Tianjin, CN, Liwen WangMechanical Engineering Department, Tianjin University, Tianjin, CN, Daniil MorozovHarvard Medical School, Brigham and Women’s Hospital, Boston, US
Technical University of Munich, Munich, DE, Nazim HaouchineHarvard Medical School, Brigham and Women’s Hospital, Boston, US, Joel HonkamaaAalto University, Espoo, FI, Pekka MarttinenAalto University, Espoo, FI, Yichao ZhouCanon Medical Systems (China) Co., Ltd., Beijing, CN, Zuopeng TanCanon Medical Systems (China) Co., Ltd., Beijing, CN, Zhuoyuan WangSmart Medical Imaging, Learning and Engineering (SMLE) Lab, School of Biomedical Engineering, Shenzhen University Medical School, Shenzhen University, Shenzhen, CN, Yi WangSmart Medical Imaging, Learning and Engineering (SMLE) Lab, School of Biomedical Engineering, Shenzhen University Medical School, Shenzhen University, Shenzhen, CN, Hongchao ZhouSchool of Information Science and Engineering, Linyi University, Linyi, CN, Shunbo HuSchool of Information Science and Engineering, Linyi University, Linyi, CN, Yi ZhangDepartment of Imaging Physics, Delft University of Technology, Delft, NL, Qian TaoDepartment of Imaging Physics, Delft University of Technology, Delft, NL, Lukas FörnerClinical Computational Medical Imaging Research, Department of Diagnostic and Interventional Radiology and Neuroradiology, University Hospital Augsburg, Augsburg, DE, Thomas WendlerClinical Computational Medical Imaging Research, Department of Diagnostic and Interventional Radiology and Neuroradiology, University Hospital Augsburg, Augsburg, DE, Bailiang JianTechnical University of Munich, Munich, DE
TUM Klinikum Rechts der Isar, Munich, DE, Christian WachingerTechnical University of Munich, Munich, DE
TUM Klinikum Rechts der Isar, Munich, DE, Jin KimUniversity of California, Los Angeles, US, Dan RuanUniversity of California, Los Angeles, US, Marek WodzinskiAGH University of Krakow, Krakow, PL
Sano Centre for Computational Medicine, Krakow, PL, Henning MüllerInstitute of Informatics, University of Applied Sciences Western Switzerland, Sierre, CH
Medical Faculty, University of Geneva, Geneva,CH, Tony C.W. MokHong Kong University of Science and Technology, Hong Kong, HK, Xi JiaSchool of Computer Science, University of Birmingham, Birmingham, UK, Jinming DuanSchool of Computer Science, University of Birmingham, Birmingham, UK, Mikael BrudforsNVIDIA Ltd., London, UK, Seyed-Ahmad AhmadiNVIDIA GmbH, Munich, DE, Yunzheng ZhuMedical & Imaging Informatics, Department of Radiological Science, University of California, Los Angeles, US, William HsuMedical & Imaging Informatics, Department of Radiological Science, University of California, Los Angeles, US, Tina KapurHarvard Medical School, Brigham and Women’s Hospital, Boston, US, William M. WellsHarvard Medical School, Brigham and Women’s Hospital, Boston, US, Alexandra GolbyHarvard Medical School, Brigham and Women’s Hospital, Boston, US, Aaron CarassJohns Hopkins University, Baltimore, US, Harrison BaiJohns Hopkins University, Baltimore, US, Yihao LiuVanderbilt University, Nashville, US, Perrine Paul-GilloteauxNantes Université, CHU Nantes, CNRS, Inserm, BioCore, US16, SFR Bonamy, F44000 Nantes, FR, Joakim LindbladUppsala Universitet, Uppsala, SE, Nataša SladojeUppsala Universitet, Uppsala, SE, Andreas WalterAalen University, Aalen, DE, Junyu ChenJohns Hopkins University, Baltimore, US, Reuben DorentHarvard Medical School, Brigham and Women’s Hospital, Boston, US
National Institute for Research in Computer Science and Control, Paris, FR, Alessa HeringRadboud University Medical Center, Nijmegen, NL
These authors contributed equally to this work and share senior authorship., Mattias P. HeinrichInstitute of Medical Informatics, Universität zu Lübeck, Lübeck, DE
These authors contributed equally to this work and share senior authorship.

Special issue on FAIMI
John McCabeSatsuma Lab, Hawkes Institute, University College London, United Kingdom, Daryl O. ChengSatsuma Lab, Hawkes Institute, University College London, United Kingdom, Andrew CrossinghamUniversity College London Hospitals NHS Foundation Trust, London, United Kingdom, Junaid ChoudharyUniversity College London Hospitals NHS Foundation Trust, London, United Kingdom, Samantha L QuaifeCentre for Cancer Screening, Prevention, Detection and Early Diagnosis, Wolfson Institute of Population Health, Barts and The London School of Medicine and Dentistry, Queen Mary University of London, London, United Kingdom, Tanya PatrickLungs for Living Research Centre, UCL Respiratory, University College London, United Kingdom, Monica MullinLungs for Living Research Centre, UCL Respiratory, University College London, United KingdomJohn McCabeSatsuma Lab, Hawkes Institute, University College London, United Kingdom et al.
Department of Respirology, University of British Columbia, Vancouver, Canada, Amyn BhamaniLungs for Living Research Centre, UCL Respiratory, University College London, United Kingdom, Esther Arthur-DarkwaCRUK & UCL Cancer Trials Centre, University College London, London, United Kingdom, Aoife WalkerCRUK & UCL Cancer Trials Centre, University College London, London, United Kingdom, Arjun NairUniversity College London Hospitals NHS Foundation Trust, London, United Kingdom, Alan HackshawCRUK & UCL Cancer Trials Centre, University College London, London, United Kingdom, SUMMIT consortium, Sam M. JanesLungs for Living Research Centre, UCL Respiratory, University College London, United Kingdom, Joseph JacobSatsuma Lab, Hawkes Institute, University College London, United Kingdom, Carole H. SudreUnit for Lifelong Health and Ageing at UCL, Department of Population Science and Experimental Medicine, University College London, United Kingdom
Hawkes Institute, University College London, United Kingdom

Fairness Evaluation of Risk Estimation Models for Lung Cancer Screening
2025/12/21Special issue on FAIMI
Shaurya GaurDiagnostic Image Analysis Group, Department of Medical Imaging, Radboud University Medical Center, Nijmegen, the Netherlands
Department of Artificial Intelligence, Radboud University, Nijmegen, the Netherlands, Michel VitaleDiagnostic Image Analysis Group, Department of Medical Imaging, Radboud University Medical Center, Nijmegen, the Netherlands
Ethics of Healthcare Group, Department IQ Health, Radboud University Medical Center, Nijmegen, the Netherlands, Alessa HeringDiagnostic Image Analysis Group, Department of Medical Imaging, Radboud University Medical Center, Nijmegen, the Netherlands, Johan KwisthoutDepartment of Artificial Intelligence, Radboud University, Nijmegen, the Netherlands, Colin JacobsDiagnostic Image Analysis Group, Department of Medical Imaging, Radboud University Medical Center, Nijmegen, the Netherlands, Lena PhilippDiagnostic Image Analysis Group, Department of Medical Imaging, Radboud University Medical Center, Nijmegen, the Netherlands, Fennie van der GraafDiagnostic Image Analysis Group, Department of Medical Imaging, Radboud University Medical Center, Nijmegen, the Netherlands

December 2025 issue
Akis LinardosDivision of Computational Pathology, Department of Pathology and Laboratory Medicine, Indiana University School of Medicine, Indianapolis, IN, USAAkis LinardosDivision of Computational Pathology, Department of Pathology and Laboratory Medicine, Indiana University School of Medicine, Indianapolis, IN, USA
Center for Federated Learning in Medicine, Indiana University School of Medicine, Indianapolis, IN, USA et al.
Center for Federated Learning in Medicine, Indiana University School of Medicine, Indianapolis, IN, USA, Sarthak PatiDivision of Computational Pathology, Department of Pathology and Laboratory Medicine, Indiana University School of Medicine, Indianapolis, IN, USA
Center for Federated Learning in Medicine, Indiana University School of Medicine, Indianapolis, IN, USA
Medical AI Group, MLCommons, San Francisco, CA, USA, Ujjwal BaidDivision of Computational Pathology, Department of Pathology and Laboratory Medicine, Indiana University School of Medicine, Indianapolis, IN, USA
Center for Federated Learning in Medicine, Indiana University School of Medicine, Indianapolis, IN, USA, Brandon EdwardsIntel Corporation, Santa Clara, CA, USA, Patrick FoleyIntel Corporation, Santa Clara, CA, USA, Kevin TaIntel Corporation, Santa Clara, CA, USA, Verena ChungSage Bionetworks, Seattle, WA, USA, Micah ShellerMedical AI Group, MLCommons, San Francisco, CA, USA
Intel Corporation, Santa Clara, CA, USA, Muhammad Irfan KhanTurku University of Applied Sciences, Turku, Finland, Mojtaba JafaritadiStanford University, Stanford, CA, USA, Elina KontioTurku University of Applied Sciences, Turku, Finland, Suleiman KhanTurku University of Applied Sciences, Turku, Finland, Leon MächlerEcole Normale Supérieure, Paris, France, Ivan EzhovTechnical University of Munich, Munich, Germany, Suprosanna ShitTechnical University of Munich, Munich, Germany, Johannes C. PaetzoldWeill Cornell Medicine, New York, USA, Gustav GrimbergEzri AI Labs, Paris, France, Manuel A. NickelTechnical University of Munich, Munich, Germany, David NaccacheEcole Normale Supérieure, Paris, France, Vasilis SiomosCity St George’s, University of London, UK, Jonathan Passerat-PalmbachImperial College London, London, UK, Giacomo TarroniCity St George’s, University of London, UK
Imperial College London, London, UK, Daewoon KimSeoul National University, Seoul, South Korea, Leonard L. KlausmannOstbayerische Technische Hochschule (OTH) Regensburg, Germany, Prashant ShahIntel Corporation, Santa Clara, CA, USA, Bjoern MenzeUniversität Zürich, Zürich, Switzerland, Dimitrios MakrisKingston University London, London, UK, Spyridon BakasDivision of Computational Pathology, Department of Pathology and Laboratory Medicine, Indiana University School of Medicine, Indianapolis, IN, USA
Center for Federated Learning in Medicine, Indiana University School of Medicine, Indianapolis, IN, USA
Medical AI Group, MLCommons, San Francisco, CA, USA
Kingston University London, London, UK
Departments of Radiology and Imaging Sciences; Neurological Surgery; Biostatistics and Health Data Science, Indiana University School of Medicine, Indianapolis, IN, USA
Department of Computer Science, Luddy School of Informatics, Computing and Engineering, Indiana University, Indianapolis, IN, USA

Data Exfiltration by Compression Attack: Definition and Evaluation on Medical Image Data
2025/12/05December 2025 issue
Huiyu LIResearch Centre Inria Sophia Antipolis - Méditerranée, Nicholas AyacheResearch Centre Inria Sophia Antipolis - Méditerranée, Hervé DelingetteResearch Centre Inria Sophia Antipolis - Méditerranée

Denoising Diffusion Models for Anomaly Localization in Medical Images
2025/11/27November 2025 issue
Cosmin I. BerceaSchool of Computation, Information and Technology, Technical University of Munich, Germany
Institute of Machine Learning in Biomedical Imaging, Helmholtz Munich, Germany, Philippe C. CattinDepartment of Biomedical Engineering, University of Basel, Allschwil, Switzerland, Julia A. SchnabelSchool of Computation, Information and Technology, Technical University of Munich, Germany
Institute of Machine Learning in Biomedical Imaging, Helmholtz Munich, Germany
School of Biomedical Engineering and Imaging Sciences, King’s College London, United Kingdom, Julia WollebDepartment of Biomedical Engineering, University of Basel, Allschwil, Switzerland
Department of Biomedical Informatics and Data Science, Yale University School of Medicine, New Haven, CT, USA
Yale Biomedical Imaging Institute, Yale University, New Haven, CT, USA

ContourDiff: Unpaired Medical Image Translation with Structural Consistency
2025/11/25November 2025 issue
Yuwen ChenDepartment of Electrical and Computer Engineering, Duke University, Durham, NC 27708, Nicholas KonzDepartment of Electrical and Computer Engineering, Duke University, Durham, NC 27708, Hanxue GuDepartment of Electrical and Computer Engineering, Duke University, Durham, NC 27708, Haoyu DongDepartment of Electrical and Computer Engineering, Duke University, Durham, NC 27708, Yaqian ChenDepartment of Electrical and Computer Engineering, Duke University, Durham, NC 27708, Lin LiDepartment of Biostatistics & Bioinformatics, Duke University, Durham, NC 27708, Jisoo LeeDepartment of Radiology, Duke University, Durham, NC 27708, Maciej A. MazurowskiDepartment of Electrical and Computer Engineering, Duke University, Durham, NC 27708
Department of Biostatistics & Bioinformatics, Duke University, Durham, NC 27708
Department of Radiology, Duke University, Durham, NC 27708
Department of Computer Science, Duke University, Durham, NC, 27708

November 2025 issue
Yaqian ChenDepartment of Electrical and Computer Engineering, Duke University, Durham, NC 27708, Hanxue GuDepartment of Electrical and Computer Engineering, Duke University, Durham, NC 27708, Yuwen ChenDepartment of Electrical and Computer Engineering, Duke University, Durham, NC 27708, Jicheng YangDepartment of Electrical and Computer Engineering, Duke University, Durham, NC 27708, Haoyu DongDepartment of Electrical and Computer Engineering, Duke University, Durham, NC 27708, Joseph Y. CaoDepartment of Radiology, Duke University, Durham, NC 27708, Adrian CamarenaDepartment of Surgery Duke University School of Medicine, Durham, NC 27708 , Christopher MantyhDepartment of Surgery Duke University School of Medicine, Durham, NC 27708 , Roy ColglazierDepartment of Radiology, Duke University, Durham, NC 27708, Maciej A. MazurowskiDepartment of Electrical and Computer Engineering, Duke University, Durham, NC 27708 Yaqian ChenDepartment of Electrical and Computer Engineering, Duke University, Durham, NC 27708 et al.
Department of Radiology, Duke University, Durham, NC 27708
Department of Biostatistics & Bioinformatics, Duke University, Durham, NC 27708
Department of Computer Science, Duke University, Durham, NC 27708

October 2025 issue
Susu SunCluster of Excellence: Machine Learning - New Perspectives for Science, University of Tübingen, Tübingen, Germany, Stefano WoernerCluster of Excellence: Machine Learning - New Perspectives for Science, University of Tübingen, Tübingen, Germany, Andreas MaierDepartment of Computer Science, Friedrich-Alexander-Universität Erlangen-Nürnberg, Erlangen, Germany, Lisa M. KochHertie Institute for Artificial Intelligence in Brain Health, University of Tübingen, Tübingen, Germany
Department of Diabetes, Endocrinology, Nutritional Medicine and Metabolism, Inselspital, Bern University Hospital, University of Bern, Bern, Switzerland, Christian F. BaumgartnerCluster of Excellence: Machine Learning - New Perspectives for Science, University of Tübingen, Tübingen, Germany
Faculty of Health Sciences and Medicine, University of Lucerne, Lucerne, Switzerland

On the Role of Calibration in Benchmarking Algorithmic Fairness for Skin Cancer Detection
2025/10/29Special issue on FAIMI
Brandon DominiqueNortheastern University, Boston, MA, USA 02115, Prudence LamNortheastern University, Boston, MA, USA 02115, Nicholas KurtanskyMemorial Sloan Kettering Cancer Center, New York, NY, USA 10065, Jochen WeberMemorial Sloan Kettering Cancer Center, New York, NY, USA 10065, Kivanc KoseMemorial Sloan Kettering Cancer Center, New York, NY, USA 10065, Veronica RotembergMemorial Sloan Kettering Cancer Center, New York, NY, USA 10065, Jennifer DyNortheastern University, Boston, MA, USA 02115

Circle Representation for Medical Instance Object Segmentation
2025/10/20October 2025 issue
Juming XiongDepartment of Electrical and Computer Engineering, Vanderbilt University, Nashville, TN, USA, Ethan H. NguyenDepartment of Computer Science, Vanderbilt University, Nashville, TN, USA, Yilin LiuDepartment of Computer Science, Vanderbilt University, Nashville, TN, USA, Ruining DengDepartment of Computer Science, Vanderbilt University, Nashville, TN, USA, Regina N TyreeDivision of Pediatric Gastroenterology, Hepatology, and Nutrition, Vanderbilt University Medical Center, Nashville, TN, USA, Hernan CorreaDepartment of Pathology, Microbiology and Immunology, Vanderbilt University Medical Center, Nashville, TN, USA, Girish HiremathDivision of Pediatric Gastroenterology, Hepatology, and Nutrition, Vanderbilt University Medical Center, Nashville, TN, USA, Yaohong WangDepartment of Pathology, Microbiology and Immunology, Vanderbilt University Medical Center, Nashville, TN, USA, Haichun YangDepartment of Pathology, Microbiology and Immunology, Vanderbilt University Medical Center, Nashville, TN, USA, Agnes B. FogoDepartment of Pathology, Microbiology and Immunology, Vanderbilt University Medical Center, Nashville, TN, USA, Yuankai HuoDepartment of Electrical and Computer Engineering, Vanderbilt University, Nashville, TN, USAJuming XiongDepartment of Electrical and Computer Engineering, Vanderbilt University, Nashville, TN, USA et al.
Department of Computer Science, Vanderbilt University, Nashville, TN, USA
Department of Pathology, Microbiology and Immunology, Vanderbilt University Medical Center, Nashville, TN, USA

October 2025 issue
Timothy JP BrayCentre for Medical Imaging, University College London, UK
Department of Imaging, University College London Hospital, UK
The Hawkes Institute, University College London, UK, Giulio V MinoreThe Hawkes Institute, University College London, UK, Alan BainbridgeDepartment of Medical Physics, University College London Hospital, UK, Louis Dwyer-HemmingsCentre for Medical Imaging, University College London, UK
Department of Imaging, University College London Hospital, UK
The Hawkes Institute, University College London, UK, Stuart A TaylorCentre for Medical Imaging, University College London, UK
Department of Imaging, University College London Hospital, UK, Margaret A Hall-CraggsCentre for Medical Imaging, University College London, UK
Department of Imaging, University College London Hospital, UK, Hui ZhangThe Hawkes Institute, University College London, UK

September 2025 issue
Roshan KeniaComputer Science, Columbia University, Anfei LiOphthalmology, Columbia University Irving Medical Center, Rishabh SrivastavaComputer Science, Columbia University, Kaveri A. ThakoorOphthalmology, Columbia University Irving Medical Center
Computer Science, Columbia University
Biomedical Engineering, Columbia University
Data Science Institute, Columbia University

Multi-Domain Brain Vessel Segmentation Through Feature Disentanglement
2025/09/09September 2025 issue
Francesco GalatiData Science, EURECOM, Daniele FalcettaData Science, EURECOM, Rosa CorteseDepartment of Medicine, Surgery and Neuroscience, University of Siena, Ferran PradosCentre for Medical Image Computing, Department of Medical Physics and Bioengineering, University College London
Queen Square MS Centre, Department of Neuroinflammation, UCL Queen Square Institute of Neurology, Faculty of Brain Sciences, University College London
E-health Center, Universitat Oberta de Catalunya, Ninon BurgosSorbonne Université, Paris Brain Institute, CNRS, Inria, Inserm, AP-HP, Hôpital de la Pitié Salpêtrière, Paris, FR, Maria A. ZuluagaData Science, EURECOM
School of Biomedical Engineering & Imaging Sciences, King's College London

Special issue on FAIMI
Maria GalantyInformatics Institute, University of Amsterdam, The Netherlands
Department of Biomedical Engineering and Physics, Amsterdam UMC, University of Amsterdam, The Netherlands, Björn van der SterDepartment of Anesthesiology, Amsterdam University Medical Center, University of Amsterdam, Amsterdam Cardiovascular Sciences, Amsterdam, the Netherlands, Alexander P. VlaarDepartment of Intensive Care, Amsterdam UMC, University of Amsterdam, The Netherlands, Clara I. SánchezInformatics Institute, University of Amsterdam, The Netherlands
Department of Biomedical Engineering and Physics, Amsterdam UMC, University of Amsterdam, The Netherlands

Sketchpose: Learning to Segment Cells with Partial Annotations
2025/08/22August 2025 issue
Clément CazorlaInstitut de Recherche en Informatique de Toulouse (IRIT), Institut de Mathématiques de Toulouse (IMT), Centre de Biologie Intégrative (CBI), Laboratoire de Biologie Moléculaire, Cellulaire et du Développement (MCD), Université de Toulouse, CNRS, Université Toulouse III – Paul Sabatier, Toulouse, France
Imactiv-3D, Centre Pierre Potier, 1 place Pierre Potier, 31100 Toulouse, France, Nathanaël MunierInstitut de Recherche en Informatique de Toulouse (IRIT), Institut de Mathématiques de Toulouse (IMT), Centre de Biologie Intégrative (CBI), Laboratoire de Biologie Moléculaire, Cellulaire et du Développement (MCD), Université de Toulouse, CNRS, Université Toulouse III – Paul Sabatier, Toulouse, France, Renaud MorinImactiv-3D, Centre Pierre Potier, 1 place Pierre Potier, 31100 Toulouse, France, Pierre WeissInstitut de Recherche en Informatique de Toulouse (IRIT), Institut de Mathématiques de Toulouse (IMT), Centre de Biologie Intégrative (CBI), Laboratoire de Biologie Moléculaire, Cellulaire et du Développement (MCD), Université de Toulouse, CNRS, Université Toulouse III – Paul Sabatier, Toulouse, France

SWiFT: Soft-Mask Weight Fine-tuning for Bias Mitigation
2025/08/21Special issue on FAIMI
Junyu YanSchool of Engineering, University of Edinburgh, EH9 3FB Edinburgh, UK, Feng ChenSchool of Engineering, University of Edinburgh, EH9 3FB Edinburgh, UK, Yuyang XueSchool of Engineering, University of Edinburgh, EH9 3FB Edinburgh, UK, Yuning DuSchool of Engineering, University of Edinburgh, EH9 3FB Edinburgh, UK, Konstantinos VilourasSchool of Engineering, University of Edinburgh, EH9 3FB Edinburgh, UK, Sotirios A. TsaftarisSchool of Engineering, University of Edinburgh, EH9 3FB Edinburgh, UK, Steven McDonaghSchool of Engineering, University of Edinburgh, EH9 3FB Edinburgh, UK

August 2025 issue
Alex Ling Yu HungComputer Science Department, UCLA, Los Angeles, CA, USA
Department of Radiological Sciences, UCLA, Los Angeles, CA, USA, Kai ZhaoDepartment of Radiological Sciences, UCLA, Los Angeles, CA, USA, Kaifeng PangElectrical Engineering Department, UCLA, Los Angeles, CA, USA
Department of Radiological Sciences, UCLA, Los Angeles, CA, USA, Haoxin ZhengComputer Science Department, UCLA, Los Angeles, CA, USA
Department of Radiological Sciences, UCLA, Los Angeles, CA, USA, Xiaoxi DuBioengineering Department, UCLA, Los Angeles, CA, USA, Qi MiaoDepartment of Radiological Sciences, UCLA, Los Angeles, CA, USA, Demetri TerzopoulosComputer Science Department, UCLA, Los Angeles, CA, USA
VoxelCloud, Inc., Los Angeles, CA, USA, Kyunghyun SungDepartment of Radiological Sciences, UCLA, Los Angeles, CA, USA

Robust deformable image registration using synthetic data and transfer learning
2025/08/15August 2025 issue
Iris D. KolenbranderIMAG/e Group, Department of Biomedical Engineering, Eindhoven University of Technology, The Netherlands
Eindhoven Artificial Intelligence Systems Institute, Eindhoven University of Technology, The Netherlands, Matteo MasperoComputational Imaging Group for MR Diagnostics & Therapy, University Medical Center Utrecht, The Netherlands
Department of Radiotherapy,University Medical Center Utrecht, The Netherlands, Josien P.W. PluimIMAG/e Group, Department of Biomedical Engineering, Eindhoven University of Technology, The Netherlands

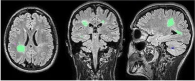
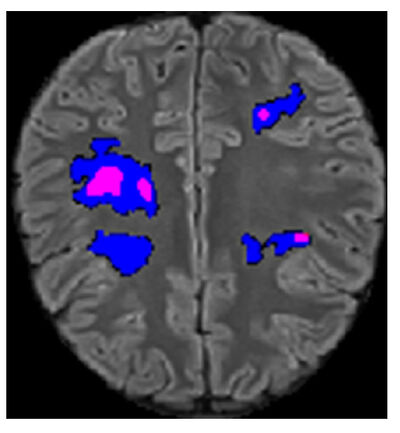
Synthetic Data for Robust Stroke Segmentation
2025/08/14August 2025 issue
Liam ChalcroftWellcome Centre for Human Neuroimaging, University College London, Ioannis PappasUniversity of Southern Californa, Cathy J. PriceWellcome Centre for Human Neuroimaging, University College London, John AshburnerWellcome Centre for Human Neuroimaging, University College London

June 2025 issue
Anahita Fathi KazerooniCenter for Data-Driven Discovery in Biomedicine (D3b), The Children’s Hospital of Philadelphia, PA, USA, Nastaran KhaliliCenter for Data-Driven Discovery in Biomedicine (D3b), The Children’s Hospital of Philadelphia, PA, USA, Xinyang LiuSheikh Zayed Institute for Pediatric Surgical Innovation, Children’s National Hospital, Washington DC, USA, Debanjan HaldarDepartment of Neurosurgery, Thomas Jefferson University Hospital, PA, USA, Zhifan JiangSheikh Zayed Institute for Pediatric Surgical Innovation, Children’s National Hospital, Washington DC, USA, Anna ZapaishchykovaDana-Farber Brigham Cancer Center & Boston Children’s Hospital, Boston, MA, USA, Julija PavaineDepartment of Paediatric Radiology, Royal Manchester Children’s Hospital, Manchester University Hospitals NHS Foundation Trust, University of Manchester, Manchester, UK, Lubdha M. ShahUniversity of Utah, UT, USA, Blaise V. JonesCincinnati Children’s Hospital Medical Center, OH, USA, Nakul ShethDepartment of Radiology, The Children’s Hospital of Philadelphia, PA, USA, Sanjay P. PrabhuDivision of Neuroradiology, Department of Radiology, Boston Children’s Hospital, Harvard Medical School, Boston, MA, USA, Aaron S. McAllisterDepartment of Radiology, Nationwide Children’s Hospital, OH, USA, Wenxin TuCollege of Arts and Sciences, University of Pennsylvania, PA, USA, Khanak K. NandoliaDepartment of Diagnostic and Interventional Radiology, All India Institute of Medical Sciences, Rishikesh, India, Andres F. RodriguezDepartment of Diagnostic & Interventional Imaging, Neuroradiology section, The University of Texas Health at Houston, Texas, USA, Ibraheem Salman ShaikhBeth Israel Deaconess Medical Center, Harvard Medical School, MA, USA, Mariana Sanchez-MontanoUNIDAD DE PATOLOGIA CLINICA:Guadalajara, JALISCO, Mexico, Hollie Anne LaiDepartment of Radiology, Children’s Health Orange County, CA, USA, Maruf AdewoleMedical Artificial Intelligence (MAI) Lab, Crestview Radiology, Lagos, Nigeria, Jake AlbrechtSage Bionetworks, USA, Udunna AnazodoMontreal Neurological Institute (MNI), McGill University, Montreal, QC, Canada, Hannah AndersonDepartment of Radiology, Perelman School of Medicine, University of Pennsylvania, Philadelphia, PA, USA, Syed Muhammed AnwarSheikh Zayed Institute for Pediatric Surgical Innovation, Children’s National Hospital, Washington DC, USA, Alejandro AristizabalMLCommons, USA, Sina BagheriDepartment of Radiology, Perelman School of Medicine, University of Pennsylvania, Philadelphia, PA, USA, Ujjwal BaidDivision of Computational Pathology, Department of Pathology and Laboratory Medicine, Indiana University School of Medicine, Indianapolis, IN, USA, Timothy BergquistSage Bionetworks, USA, Austin J. BorjaDepartment of Neurosurgery at the University of Southern California, CA, USA, Evan CalabreseDepartment of Radiology, Duke University Medical Center, Durham, NC, USA, Verena ChungSage Bionetworks, USA, Gian-Marco ConteMayo Clinic, MN, USA, James EddySage Bionetworks, USA, Ivan EzhovDepartment of Informatics, Technical University Munich, Germany, Ariana M. FamiliarCenter for Data-Driven Discovery in Biomedicine (D3b), The Children’s Hospital of Philadelphia, PA, USA, Keyvan FarahaniNational Cancer Institute, National Institutes of Health, Bethesda, MD, USA, Deep GandhiCenter for Data-Driven Discovery in Biomedicine (D3b), The Children’s Hospital of Philadelphia, PA, USA, Anurag GottipatiCenter for Data-Driven Discovery in Biomedicine (D3b), The Children’s Hospital of Philadelphia, PA, USA, Shuvanjan HaldarBiomedical Engineering Rutgers University, New Brunswick, NJ, USA, Juan Eugenio IglesiasAthinoula A Martinos Center for Biomedical Imaging, Massachusetts General Hospital and Harvard Medical School, Boston, MA, USA, Anastasia JanasYale University, New Haven, CT, USA, Elaine ElainePrecisionFDA, U.S. Food and Drug Administration, Silver Spring, MD, USA, Alexandros KarargyrisMLCommons, USA, Hasan KassemMLCommons, USA, Neda KhaliliCenter for Data-Driven Discovery in Biomedicine (D3b), The Children’s Hospital of Philadelphia, PA, USA, Florian KoflerHelmholtz AI, Helmholtz Munich, Germany, Dominic LaBellaDepartment of Radiation Oncology, Duke University Medical Center, Durham, NC, USA, Koen Van LeemputDepartment of Applied Mathematics and Computer Science, Technical University of Denmark, Denmark, Hongwei B. LiAthinoula A Martinos Center for Biomedical Imaging, Massachusetts General Hospital, Boston, MA, USA, Nazanin MalekiYale University, New Haven, CT, USA, Zeke MeierBooz Allen Hamilton, McLean, VA, USA, Bjoern MenzeBiomedical Image Analysis & Machine Learning, Department of Quantitative Biomedicine, University of Zurich, Switzerland, Ahmed W. MoawadMercy Catholic Medical Center, Darby, PA, USA, Sarthak PatiMLCommons, USA, Marie PiraudHelmholtz AI, Helmholtz Munich, Germany, Tina PoussaintDana-Farber Brigham Cancer Center & Boston Children’s Hospital, Boston, MA, USA, Zachary J. ReitmanDepartment of Radiation Oncology, Duke University Medical Center, Durham, NC, USA, Jeffrey D. RudieUniversity of San Diego, CA, USA, Rachit SalujaCornell University, Ithaca, NY, USA, MIcah ShellerMLCommons, USA, Russell Takeshi ShinoharaStatistics in Imaging and Visualization Center, Department of Biostatistics, Epidemiology, and Informatics, University of Pennsylvania, Philadelphia, PA, USA, Karthik ViswanathanCenter for Data-Driven Discovery in Biomedicine (D3b), The Children’s Hospital of Philadelphia, PA, USA, Chunhao WangDepartment of Radiation Oncology, Duke University Medical Center, Durham, NC, USA, Benedikt WiestlerDepartment of Neuroradiology, Technical University of Munich, Munich, Germany, Walter F. WigginsGreensboro Radiology, Greensboro, NC, USA, Christos DavatzikosCenter for AI and Data Science for Integrated Diagnostics (AI2D) & Center for Biomedical Image Computing and Analytics (CBICA), University of Pennsylvania, Philadelphia, PA, USA, Phillip B. StormCenter for Data-Driven Discovery in Biomedicine (D3b), The Children’s Hospital of Philadelphia, PA, USA, Miriam BornhorstBrain Tumor Institute, Children’s National Hospital, Washington, DC, USA, Roger PackerBrain Tumor Institute, Children’s National Hospital, Washington, DC, USA, Trent HummelBrain Tumor Center, Cincinnati Children’s Hospital, Cincinnati, OH, USA, Peter de BlankBrain Tumor Center, Cincinnati Children’s Hospital, Cincinnati, OH, USA, Lindsey HoffmanCenter for Cancer and Blood Disorders, Phoenix Children’s Hospital, Phoenix, AZ, US, Mariam AboianDepartment of Radiology, The Children’s Hospital of Philadelphia, PA, USA, Ali NabavizadehCenter for Data-Driven Discovery in Biomedicine (D3b), The Children’s Hospital of Philadelphia, PA, USA, Jeffrey B. WareCenter for Data-Driven Discovery in Biomedicine (D3b), The Children’s Hospital of Philadelphia, PA, USA, Benjamin H. KannDana-Farber Brigham Cancer Center & Boston Children’s Hospital, Boston, MA, USA, Brian RoodCenter for Cancer and Blood Disorders, Children’s National Hospital, Washington, DC, USA, Adam ResnickCenter for Data-Driven Discovery in Biomedicine (D3b), The Children’s Hospital of Philadelphia, PA, USA, Spyridon BakasDivision of Computational Pathology, Department of Pathology and Laboratory Medicine, Indiana University School of Medicine, Indianapolis, IN, USA, Arastoo VossoughDepartment of Radiology, The Children’s Hospital of Philadelphia, PA, USA, Marius George LinguraruSheikh Zayed Institute for Pediatric Surgical Innovation, Children’s National Hospital, Washington DC, USAAnahita Fathi KazerooniCenter for Data-Driven Discovery in Biomedicine (D3b), The Children’s Hospital of Philadelphia, PA, USA et al.

Understanding differences in applying DETR to natural and medical images
2025/05/30May 2025 issue
Yanqi XuCenter for Data Science, New York Univeristy, New York, NY, USA, Yiqiu ShenNYU Grossman School of Medicine, New York, NY, USA, Carlos Fernandez-GrandaCenter for Data Science, New York Univeristy, New York, NY, USA, Laura HeacockNYU Langone Health, New York, NY, USA, Krzysztof J. GerasNYU Grossman School of Medicine, New York, NY, USA

BrainMorph: A Foundational Keypoint Model for Robust and Flexible Brain MRI Registration
2025/05/27May 2025 issue
Alan Q. WangDepartment of Radiology, Weill Cornell Medicine, New York City, NY, USA, Rachit SalujaDepartment of Radiology, Weill Cornell Medicine, New York City, NY, USA, Heejong KimDepartment of Radiology, Weill Cornell Medicine, New York City, NY, USA, Xinzi HeDepartment of Radiology, Weill Cornell Medicine, New York City, NY, USA, Adrian DalcaComputer Science and Artificial Intelligence Lab at the Massachusetts Institute of Technology, Cambridge, MA, USA, Mert R. SabuncuSchool of Electrical and Computer Engineering, Cornell University, Ithaca, NY, USA

May 2025 issue
Donghang LyuDivision of Image Processing, Department of Radiology, Leiden University Medical Center, Leiden, the Netherlands, Ruochen GaoDivision of Image Processing, Department of Radiology, Leiden University Medical Center, Leiden, the Netherlands, Marius StaringDivision of Image Processing, Department of Radiology, Leiden University Medical Center, Leiden, the Netherlands

May 2025 issue
Hanxue GuDepartment of Electrical and Computer Engineering Duke University, NC, USA, Haoyu DongDepartment of Electrical and Computer Engineering Duke University, NC, USA, Jichen YangDepartment of Electrical and Computer Engineering Duke University, NC, USA, Maciej A. MazurowskiDepartment of Electrical and Computer Engineering Duke University, NC, USA
Department of Radiology Duke University, NC, USA
Department of Computer Science Duke University, NC, USA
Department of Biostatistics & Bioinformatics Duke University, NC, USA

Prompting Medical Large Vision-Language Models to Diagnose Pathologies by Visual Question Answering
2025/03/14March 2025 issue
Danfeng GuoComputer Science Department, University of California, Los Angeles, CA, USA, Demetri TerzopoulosComputer Science Department, University of California, Los Angeles, CA, USA
VoxelCloud, Inc., Los Angeles, CA, USA

Analysis of the BraTS 2023 Intracranial Meningioma Segmentation Challenge
2025/03/07March 2025 issue
Dominic LaBellaDuke University Medical Center, Department of Radiation Oncology, Durham, NC, USA, Ujjwal BaidDivision of Computational Pathology, Department of Pathology and Laboratory Medicine, Indiana University School of Medicine, Indianapolis, IN, USADominic LaBellaDuke University Medical Center, Department of Radiation Oncology, Durham, NC, USA et al.
Center for Federated Learning in Medicine, Indiana University, Indianapolis, IN, USA, Omaditya KhannaDepartment of Neurosurgery, Thomas Jefferson University, Philadelphia, PA, USA, Shan McBurney-LinUniversity of California San Francisco, CA, USA, Ryan McLeanYale University, New Haven, CT, USA, Pierre NedelecUniversity of California San Francisco, CA, USA, Arif RashidDepartment of Radiation Oncology, Perelman School of Medicine, University of Pennsylvania, Philadelphia, PA, USA, Nourel Hoda TahonUniversity of Missouri, Columbia, MO, USA, Talissa AltesDepartment of Neurosurgery, Thomas Jefferson University, Philadelphia, PA, USA, Radhika BhaleraoUniversity of California San Francisco, CA, USA, Yaseen DhemeshUniversity of Missouri, Columbia, MO, USA, Devon GodfreyDuke University Medical Center, Department of Radiation Oncology, Durham, NC, USA, Fathi HilalUniversity of Missouri, Columbia, MO, USA, Scott FloydDuke University Medical Center, Department of Radiation Oncology, Durham, NC, USA, Anastasia JanasYale University, New Haven, CT, USA, Anahita Fathi KazerooniChildren’s Hospital of Philadelphia, University of Pennsylvania, Philadelphia, PA, USA
Center for AI and Data Science for Integrated Diagnostics (AI2D) and Center for Biomedical Image Computing and Analytics (CBICA), University of Pennsylvania, Philadelphia, PA, USA, John KirkpatrickDuke University Medical Center, Department of Radiation Oncology, Durham, NC, USA, Collin KentDuke University Medical Center, Department of Radiation Oncology, Durham, NC, USA, Florian KoflerHelmholtz AI, Helmholtz Munich, Germany
Department of Informatics, Technical University Munich, Germany
TranslaTUM - Central Institute for Translational Cancer Research, Technical University of Munich, Germany
Department of Diagnostic and Interventional Neuroradiology, School of Medicine, Klinikum rechts der Isar, Technical University of Munich, Germany, Kevin LeuCenter for Intelligent Imaging (ci2), Department of Radiology and Biomedical Imaging, University of California San Francisco (UCSF), San Francisco, CA, USA, Nazanin MalekiYale University, New Haven, CT, USA, Bjoern MenzeBiomedical Image Analysis and Machine Learning, Department of Quantitative Biomedicine, University of Zurich, Switzerland
Department of Neuroradiology, Technical University of Munich, Munich, Germany, Maxence PajotUniversity of California San Francisco, CA, USA, Zachary J. ReitmanDuke University Medical Center, Department of Radiation Oncology, Durham, NC, USA, Jeffrey D. RudieUniversity of San Diego, CA, USA
University of California San Francisco, CA, USA, Rachit SalujaCornell University, Ithaca, NY, USA, Yury VelichkoDepartment of Radiology, Northwestern University, Evanston, IL, USA, Chunhao WangDuke University Medical Center, Department of Radiation Oncology, Durham, NC, USA, Pranav WarmanDuke University Medical Center, School of Medicine, Durham, NC, USA, Maruf AdewoleMedical Artificial Intelligence (MAI) Lab, Crestview Radiology, Lagos, Nigeria, Jake AlbrechtSage Bionetworks, USA, Udunna AnazodoMontreal Neurological Institute (MNI), McGill University, Montreal, QC, Canada, Syed Muhammad AnwarChildren’s National Hospital, Washington DC, USA
George Washington University, Washington DC, USA, Timothy BergquistSage Bionetworks, USA, Sully Francis ChenDuke University Medical Center, School of Medicine, Durham, NC, USA, Verena ChungSage Bionetworks, USA, Rong ChaiSage Bionetworks, USA, Gian-Marco ConteMayo Clinic, Rochester, MN, USA, Farouk DakoCenter for Global Health, Perelman School of Medicine, University of Pennsylvania, Philadelphia, PA, USA, James EddySage Bionetworks, USA, Ivan EzhovDepartment of Informatics, Technical University Munich, Germany
TranslaTUM - Central Institute for Translational Cancer Research, Technical University of Munich, Germany, Nastaran KhaliliChildren’s Hospital of Philadelphia, University of Pennsylvania, Philadelphia, PA, USA, Juan Eugenio IglesiasAthinoula A Martinos Center for Biomedical Imaging, Massachusetts General Hospital and Harvard Medical School, Boston, MA, USA
Centre for Medical Image Computing, University College London, London, UK
Computer Science and Artificial Intelligence Laboratory, Massachusetts Institute of Technology, Cambridge, MA, USA, Zhifan JiangChildren’s National Hospital, Washington DC, USA
George Washington University, Washington DC, USA, Elaine JohansonPrecisionFDA, U.S. Food and Drug Administration, Silver Spring, MD, USA, Koen Van LeemputDepartment of Applied Mathematics and Computer Science, Technical University of Denmark, Denmark, Hongwei Bran LiAthinoula A Martinos Center for Biomedical Imaging, Massachusetts General Hospital, Boston, MA, USA
Department of Neuroradiology, Technical University of Munich, Munich, Germany
University of Zurich, Switzerland, Marius George LinguraruChildren’s National Hospital, Washington DC, USA
George Washington University, Washington DC, USA, Xinyang LiuChildren’s National Hospital, Washington DC, USA
George Washington University, Washington DC, USA, Aria MahtabfarDepartment of Neurosurgery, Thomas Jefferson University, Philadelphia, PA, USA, Zeke MeierBooz Allen Hamilton, McLean, VA, USA, Ahmed W MoawadMercy Catholic Medical Center, Darby, PA, USA, John MonganUniversity of California San Francisco, CA, USA, Marie PiraudHelmholtz AI, Helmholtz Munich, Germany, Russell Takeshi ShinoharaPenn Statistics in Imaging and Visualization Center, Department of Biostatistics, Epidemiology, and Informatics
Center for AI and Data Science for Integrated Diagnostics (AI2D) and Center for Biomedical Image Computing and Analytics (CBICA), University of Pennsylvania, Philadelphia, PA, USA, Walter F. WigginsGreensboro Radiology, Greensboro, NC, USA
Radiology Partners, El Segundo, CA, USA
Duke University Medical Center, Department of Radiology, Durham, NC, USA, Aly H. AbayazeedNeosoma Inc. Stanford Medicine, Stanford, CA, USA, Rachel AkinolaLagos University Teaching Hospital, Lagos Nigeria., András JakabUniversity of Zürich, Zürich,Switzerland, Michel BilelloCenter for AI and Data Science for Integrated Diagnostics (AI2D) and Center for Biomedical Image Computing and Analytics (CBICA), University of Pennsylvania, Philadelphia, PA, USA
Department of Radiology, Perelman School of Medicine, University of Pennsylvania, Philadelphia, PA, USA, Maria Correia de VerdierDepartment of Neuroradiology, Uppsala University, Sweden, Priscila CrivellaroUniversity of Toronto, Toronto, ON, Canada, Christos DavatzikosCenter for AI and Data Science for Integrated Diagnostics (AI2D) and Center for Biomedical Image Computing and Analytics (CBICA), University of Pennsylvania, Philadelphia, PA, USA
Department of Radiology, Perelman School of Medicine, University of Pennsylvania, Philadelphia, PA, USA, Keyvan FarahaniCancer Imaging Program, National Cancer Institute, National Institutes of Health, Bethesda, MD, USA, John FreymannLeidos Biomedical Research, Inc., Frederick National Laboratory for Cancer Research, Frederick, MD, USA
Cancer Imaging Program, National Cancer Institute, National Institutes of Health, Bethesda, MD, USA, Christopher HessUniversity of California San Francisco, CA, USA, Raymond HuangDepartment of Radiology, Brigham and Women’s Hospital, Boston, MA, USA, Philipp LohmannInstitute of Neuroscience and Medicine (INM-4), Research Center Juelich, Juelich, Germany
Department of Nuclear Medicine, University Hospital RWTH Aachen, Aachen, Germany, Mana MoassefiArtificial Intelligence Lab, Department of Radiology, Mayo Clinic, Rochester, MN, USA, Matthew W. PeaseDepartment of Neurosurgery, Indiana University, Indianapolis, IN, USA, Phillipp VollmuthDepartment of Medical Image Computing, German Cancer Research Center (DKFZ), Heidelberg, Germany
Department of Neuroradiology, University Hospital Bonn, Bonn Germany, Nico SollmannDepartment of Diagnostic and Interventional Radiology, University Hospital Ulm, Ulm, Germany
Department of Diagnostic and Interventional Neuroradiology, School of Medicine, Klinikum rechts der Isar, Technical University of Munich, Munich, Germany
TUM-Neuroimaging Center, Klinikum rechts der Isar, Technical University of Munich, Munich, Germany, David DiffleyFort Worth, TX, USA, Khanak K. NandoliaDepartment of Diagnostic and Interventional Radiology, All India Institute of Medical Sciences, Rishikesh, India, Daniel I WarrenDepartment of Neuroradiology, Washington University, St. Louis, MO, USA, Ali HussainUniversity of Rochester Medical Center, Rochester, NY, USA, Pascal FehringerFaculty of Medicine, Jena University Hospital, Friedrich Schiller University Jena, Jena, Germany, Yulia BronsteinvRad (Radiology Partners), Minneapolis, MN, USA, Lisa DeptulaRoss University School of Medicine, Bridgetown, Barbados, Evan G. SteinDepartment of Radiology, New York University Grossman School of Medicine, New York, NY, USA, Mahsa TaherzadehDepartment of Radiology, Arad Hospital, Tehran, Iran, Eduardo Portela de OliveiraDepartment of Radiology, Faculty of Medicine, University of Ottawa, Cananda, Aoife HaugheyDepartment of Neuroradiology, JDMI, University of Toronto, TO, Canada, Marinos KontzialisDepartment of Radiology Northwestern University, Chicago, IL, Luca SabaDepartment of Radiology, Azienda Ospedaliero Universitaria of Cagliari-Polo di Monserrato, Cagliari, Italy, Benjamin TurnerDepartment of Radiology, Leeds General Infirmary, Leeds, United Kingdom, Melanie M. T. BrüßelerLudwig Maximilians University, Munich, Bavaria, Germany, Shehbaz AnsariRush University Medical Center, Chicago, IL, USA, Athanasios GkampenisDepartment of Neurosurgery, University Hospital of Ioannina, Ioannina, Greece, David Maximilian WeissDepartment of Neuroradiology, University Hospital Essen, Essen, North Rhine-Westphalia, Germany, Aya MansourEgyptian Ministry of Health, Cairo, Egypt, Islam H. ShawaliDepartment of Radiology, Kasr Alainy, Cairo University, Cairo, Egypt, Nikolay YordanovFaculty of Medicine, Medical University of Sofia, Sofia, Bulgaria, Joel M. SteinDepartment of Radiology, Perelman School of Medicine, University of Pennsylvania, Philadelphia, PA, USA, Roula HouraniDepartment of Radiology, American University of Beirut Medical center, Beirut, Lebanon, Mohammed Yahya MoshebahRadiology Department, King Faisal Medical City, Abha, Saudi Arabia, Ahmed Magdy AbouelattaDepartment of Diagnostic and Interventional Radiology, Cairo University, Cairo, Egypt, Tanvir RizviDepartment of Radiology and Medical Imaging, University of Virginia Health, Charlottesville, VA, USA, Klara WillmsYale University, New Haven, CT, USA, Dann C. MartinDepartment of Radiology and Radiologic Sciences, Vanderbilt University Medical Center, TN, USA, Abdullah OkarFaculty of Medicine, Hamburg University, Hamburg, Germany, Gennaro D’AnnaNeuroimaging Unit, ASST Ovest Milanese, Legnano, Milan, Italy, Ahmed TahaUniversity of Manitoba, Manitoba, Canada, Yasaman SharifiDepartment of Radiology, School of Medicine, Iran University of Medical Sciences, Iran, Tehran, Shahriar FaghaniMayo Clinic, Rochester, MN, USA, Dominic KiteDepartment of Radiology, University Hospitals Bristol and Weston NHS Foundation Trust, Bristol, United Kingdom, Marco PinhoDepartment of Radiology, University of Texas Southwestern Medical Center, TX, USA, Muhammad Ammar HaiderCMH Lahore Medical College, Lahore, Pakistan, Alejandro AristizabalMLCommons
Factored AI, Alexandros KarargyrisMLCommons, Hasan KassemMLCommons, Sarthak PatiCenter For Federated Learning in Medicine, Indiana University, Indianapolis, IN, USA
Division of Computational Pathology, Department of Pathology and Laboratory Medicine, Indiana University School of Medicine, Indianapolis, IN, USA
Medical Working Group, MLCommons, San Fransisco, CA, USA, Micah ShellerIntel
MLCommons, Michelle Alonso-BasantaDepartment of Radiation Oncology, Perelman School of Medicine, University of Pennsylvania, Philadelphia, PA, USA, Javier Villanueva-MeyerUniversity of California San Francisco, CA, USA, Andreas M RauscheckerUniversity of California San Francisco, CA, USA, Ayman NadaUniversity of Missouri, Columbia, MO, USA, Mariam AboianChildren’s Hospital of Philadelphia, University of Pennsylvania, Philadelphia, PA, USA, Adam E. FlandersDepartment of Radiology, Thomas Jefferson University, Philadelphia, PA, USA, Benedikt WiestlerDepartment of Neuroradiology, Technical University of Munich, Munich, Germany, Spyridon BakasDivision of Computational Pathology, Department of Pathology and Laboratory Medicine, Indiana University School of Medicine, Indianapolis, IN, USA
Department of Radiology and Imaging Sciences, Indiana University School of Medicine, Indianapolis, IN, USA
Department of Neurological Surgery, Indiana University School of Medicine, Indianapolis, IN, USA
Department of Biostatistics and Health Data Science, Indiana University School of Medicine, Indianapolis, IN, USA, Evan CalabreseDuke University Medical Center, Department of Radiology, Durham, NC, USA
University of California San Francisco, CA, USA

Learning disentangled representations for unpaired synthesis of high-resolution dynamic MRI
2025/02/28February 2025 issue
Claire Scavinner-DorvalIMT Atlantique, LaTIM UMR 1101 INSERM, Brest, France, Rodolphe BaillyFondation Ildys, LaTIM UMR 1101 INSERM, Brest, France, Bhushan BorotikarSymbiosis Centre for Medical Image Analysis, Pune, India, Sylvain BrochardUniv Brest, CHU Brest, UMR 1101, F 29200 Brest, France, Douraied Ben SalemUniv Brest, CHU Brest, UMR 1101, F 29200 Brest, France, François RousseauIMT Atlantique, LaTIM UMR 1101 INSERM, Brest, France

MICCAI 2023 LNQ challenge special issue
Reuben DorentBrigham and Women’s Hospital, Harvard Medical School, Boston, MA, USA, Roya KhajaviBrigham and Women’s Hospital, Harvard Medical School, Boston, MA, USA, Tagwa IdrisMassachusetts General Hospital, Harvard Medical School, Boston, MA, USA, Erik ZieglerYunu, Inc., Cary, NC, USA, Bhanusupriya SomarouthuMassachusetts General Hospital, Harvard Medical School, Boston, MA, USAReuben DorentBrigham and Women’s Hospital, Harvard Medical School, Boston, MA, USA et al.
Yunu, Inc., Cary, NC, USA, Heather JaceneBrigham and Women’s Hospital, Harvard Medical School, Boston, MA, USA
Dana-Farber Cancer Institute, Boston, MA, USA, Ann LaCasceDana-Farber Cancer Institute, Boston, MA, USA, Jonathan DeisslerDivision of Medical Image Computing, German Cancer Research Center (DKFZ), Heidelberg, Germany, Jan EhrhardtInstitute of Medical Informatics, University of Lübeck, Lübeck, Germany
German Research Center for Artificial Intelligence, Lübeck, Germany, Sofija EngelsonInstitute of Medical Informatics, University of Lübeck, Lübeck, Germany, Stefan M. FischerTechnical University Munich, Munich, Germany
Institute of Machine Learning in Biomedical Imaging, Helmholtz Munich, Munich, Germany
Munich Center of Machine Learning (MCML), Munich, Germany, Yun GuInstitute of Medical Robotics, Shanghai Jiao Tong University, Shanghai, China, Heinz HandelsInstitute of Medical Informatics, University of Lübeck, Lübeck, Germany
German Research Center for Artificial Intelligence, Lübeck, Germany, Satoshi KasaiNiigata University of Health and Welfare, Niigata, Japan, Satoshi KondoMuroran Institute of Technology, Hokkaido, Japan, Klaus Maier-HeinDivision of Medical Image Computing, German Cancer Research Center (DKFZ), Heidelberg, Germany
University of Heidelberg, Heidelberg, Germany, Julia A. SchnabelTechnical University Munich, Munich, Germany
Institute of Machine Learning in Biomedical Imaging, Helmholtz Munich, Munich, Germany
Munich Center of Machine Learning (MCML), Munich, Germany
School of Biomedical Engineering and Imaging Sciences, King’s College London, London, UK, Guotai WangUniversity of Electronic Science and Technology of China, Chengdu, China
Shanghai AI laboratory, Shanghai, China, Litingyu WangUniversity of Electronic Science and Technology of China, Chengdu, China, Tassilo WaldDivision of Medical Image Computing, German Cancer Research Center (DKFZ), Heidelberg, Germany
University of Heidelberg, Heidelberg, Germany, Guang-Zhong YangInstitute of Medical Robotics, Shanghai Jiao Tong University, Shanghai, China, Hanxiao ZhangInstitute of Medical Robotics, Shanghai Jiao Tong University, Shanghai, China, Minghui ZhangInstitute of Medical Robotics, Shanghai Jiao Tong University, Shanghai, China, Steve PieperIsomics Inc, Cambridge, MA, USA, Gordon HarrisMassachusetts General Hospital, Harvard Medical School, Boston, MA, USA
Yunu, Inc., Cary, NC, USA, Ron KikinisBrigham and Women’s Hospital, Harvard Medical School, Boston, MA, USA, Tina KapurBrigham and Women’s Hospital, Harvard Medical School, Boston, MA, USA

